
S. Lietava, J. Vlašínová, T. Novotný
Souhrn
Představujeme kazuistiku 74leté pacientky se srdečním selháním na podkladě dilatační kardiomyopatie a s implantabilnímkardioverterem-defibrilátorem implantovaným z indikace primární prevence náhlé srdeční smrti. Po třech letech od implantace byla na pravidelné kontrole zjištěna porucha stimulačních funkcí přístroje a u pacientkybyla indikována revize systému. Zjištěnou příčinou byla dislokace defibrilační elektrody jejím mnohočetným zkroucením při opakovaném otáčení přístroje v podkožní kapse. Tato kazuistika demonstruje vzácnou příčinu dislokace elektrody implantabilních srdečních přístrojů, tzv. twiddler syndrom (z angl. twiddler – kdo manipuluje nervózním nebo nevědomým způsobem).
© 2026, ČKS.
Klíčová slova:
Abstract
We present a case report of a 74-year-old patient with heart failure due to dilated cardiomyopathy who had an implantable cardioverter-defibrillator implanted for the primary prevention of sudden cardiac death. Three years after the implantation, the patient presented with a failure of pacing function at her regular follow-up and was referred for revision of the system. Twiddler syndrome was identified as the cause of ICD lead dislocation. This case report demonstrates a rare cause of implantable device electrode dislocation by its repeated rotation in the subcutaneous pocket.
Keywords:
Adresa pro korespondenci: MUDr. Samuel Lietava, Interní kardiologická klinika, Lékařská fakulta Masarykovy univerzity a Fakultní nemocnice Brno, Jihlavská 20, 625 00 Brno, Česká republika, e-mail: 706@fnbrno.cz
Tento článek prosím citujte takto: Lietava S, Vlašínová J, Novotný T. Twiddler syndrom – vzácná příčina dislokace defibrilační elektrody. Cor et Vasa Case Reports 2026;8:2–5.
Nejčastější komplikací kardiostimulačních nebo defibrilačních systémů je dislokace elektrod. Incidence této komplikace kolísá v závislosti navelikosti a zkušenostiimplantačních center, obvykle nepřekračuje 2%.1,2 Vyšší riziko dislokace je u síňových elektrod ve srovnání s komorovými elektrodami. Dislokace elektrody se nejčastěji prokáže v časném období po implantaci přístroje, nicméně změna polohy elektrody může nastat i podelším časovém odstupu od výkonu. Mezi rizikové faktory dislokace elektrody řadíme významnou trikuspidální regurgitaci, nedostatečnou fixaci elektrody, dále pak úraz nebo nedodržení klidového režimu v časném pooperačním období. Vzácnou příčinou dislokace elektrod je tzv. twiddler syndrom (z angl. twiddler – kdo manipuluje nervózním nebo nevědomým způsobem).3 Nejde tedy o pojmenování po osobě jménem Twiddler, nýbrž o označení jakéhosi „obraceče“přístroje. Jako první tuto komplikaci popsaliBayliss a spol. již v roce 1968.4Predisponující faktory jsou věk, ženské pohlaví, obezita nebo naopak rychlý pokles hmotnosti a psychické onemocnění.5,6
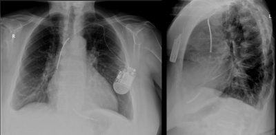
Představujeme kazuistiku 74leté pacientky s primární diagnózou dilatační kardiomyopatie. V rámci došetření byla provedena také invazivní koronární angiografie, která neprokázala významné aterosklerotické postižení koronárních tepen. Echokardiografickybyla zjištěna systolická dysfunkce levé komory (LK) s ejekční frakcí levé komory (EFLK) 30 %,dále bez detekce poruch kinetiky myokardu nebo chlopenních vad. Dysfunkce LK trvala i po více než třech měsících plné farmakoterapie srdečního selhání v maximálních pacientkou tolerovaných dávkách léků. Proto v indikaci primární prevence náhlé srdeční smrti dle platných doporučení Evropské kardiologické společnosti7byl pacientce implantovánjednodutinovýimplantabilníkardioverter-defibrilátor (ICD). V lokální anestezii byla zavedena cestou levé podklíčkové žíly punkční metodou dle Seldingeradefibrilační komorová elektroda Durata 7120Q (St. JudeMedical, USA) do oblasti distálního mezikomorového septa pravé komory. Parametry byly příznivé: senzing vlny R 12 mV, stimulační práh 0,5 V, odpor elektrody 680 ohmů a defibrilační odpor 70 ohmů. Poloha elektrody byla opakovaně skiaskopicky kontrolována,včetně manévrů na stabilitu,a snímky byly archivoványelektronicky. Na elektrody byl následně napojen přístroj FortifyAssura VR (St. JudeMedical, USA).Výkon proběhl bez komplikací, stejně tak i pooperační období. Druhý den byla dle standardního postupu provedena kontrola funkce přístroje. Defibrilační systém fungoval bez problémů s optimálními elektrickými parametry elektrody (senzing vlny R 11 mV, stimulační práh 0,5 V, odpor elektrody 590 ohmů, defibrilační odpor 44 ohmů). Antitachykardické terapie byly naprogramoványve dvou zónách (zóna VT nad 160/min s léčbou 4×antitachykardické stimulace a následně defibrilační výboje, zóna VF nad 200/min s léčbou antitachykardickou stimulací během nabíjení ICD a následně defibrilační výboje). Třetí pooperační den byl proveden pooperační rtg snímek hrudníku v předozadní a boční projekci vestoje (obr. 1), na kterém byla poloha elektrody stacionární ve zvyklé pozici. Pacientka byla propuštěna do domácí péče.
Obr. 1 – Rentgenový snímek po primoimplantaci ICD. Defibrilační elektroda je ve zvyklé pozici v pravé srdeční komoře.Po měsíci od výkonu se pacientka dostavila mimo plánovanou kontrolu pro výboje z ICD při vědomí. Po interogaci přístroje bylo zjištěnoneadekvátní podání výbojů z ICD při flutteru síní s tachykardií spadající do zóny terapie ICD. Pacientka byla zaléčena farmakologicky a byla provedena úprava nastavení parametrů ICD. Dále se neadekvátní terapie již neopakovaly.
Po dalším rocebyla pacientka přijata k vyšetření pro námahovou anginu pectoris. Koronární angiografie nyní prokázala významné postižení koronárních tepen ramusinterventricularisanterior (RIA) a chronický uzávěr ramusmarginalissinister. U pacientky byla mezioborovou indikační komisí indikována operační revaskularizace srdce. Vzhledem k celkovému křehkému stavu pacientky byla provedena operace na kardiochirurgii jako žilní monobypass na RIA bez mimotělního oběhu.Pooperační průběh pak pacientka zvládla bez komplikací.
Za rok a půl od operace byla pacientka opět přijata na koronární jednotku naší kliniky pro akutní infarkt myokardu boční stěny s elevacemiúseku ST na EKG. Urgentní koronární angiografie prokázala kritickou stenózu kmene levé věnčité tepny s přesahem na ramuscircumflexus (RC), venózní bypass na RIA byl průchodný. Byla provedena perkutánní koronární intervence RC s implantací dvou lékově potažených stentů. Echokardiograficky trval stacionární nález EFLK 30%, bez nové patologie v echokardiografickém obrazu.
Po třech měsících byla pacientka znovu přijata pro akutní infarkt myokardu bez elevacíúseku ST na EKG. Příčinou byly významné in-stent restenózy ve stentech z předchozí intervence na kmeni levé koronární tepny a RC. Opět byla provedena koronární intervence s implantací dalších dvou lékových stentů. Dále byla pacientka již bez stenokardií, dominovalau ní symptomatika srdečního selhání III. stupně dle New York HeartAssociation (NYHA III). U pacientky nebyl indikován upgrade na kardioresynchronizační léčbu, protože na EKG byl komplexQRS štíhlý se šířkou 100 ms.
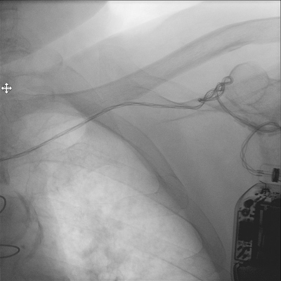
Po třech letech od implantace ICD byl na pravidelné kontrole přístroje v ambulanci zjištěn pokles vlny R na 4 mV a výrazný skokový nárůst impedance defibrilační elektrody na 2 300 ohmů. Dále byla zjištěna porucha stimulačních funkcí, kdy i při maximálním výdeji přístroje nebyla přítomna elektrická odpověď myokardu. V paměti přístroje nebyl žádný záznam o arytmiích.Pacientka popírala případný úraz nebo manipulaci s přístrojem v podkožní kapse a byla přijata k revizi systémuICD. Dle peroperačníhortgbylo patrné mnohočetné protočení elektrody mezi generátorem a vstupem do žilního systému (obr. 2), což se potvrdilo při následném otevření kapsy ICD (obr. 3).Následně byl proveden opatrný pokus o uvolnění původní elektrody, která ale byla pevně přirostlá k podkladu v celém jejím průběhu. Proto byla pouze zaslepena a fixována ke spodině kapsy ICD. Pro časový odstup od implantace ICD (tři roky) a rizikovost případné extrakce defibrilační elektrody u polymorbidnípacientky jsme neindikovali extrakci původní elektrody. Po ověření průchodnosti podklíčkové žíly flebografií byla pacientce Seldingerovou punkční metodou cestou podklíčkové žíly implantována nová defibrilační elektroda Durata 7122Q (St. JudeMedical, USA) do hrotu pravé komory. Parametry elektrody byly optimální: stimulační práh 1,1 V, senzing vlny R 12 mV, odpor defibrilační elektrody 580 ohmů, defibrilační odpor 87 ohmů. Na novou elektrodu byl napojen přístroj FortifyAssura VR (St. JudeMedical, USA). Druhý den byl proveden rtg snímek hrudníku v předozadní a boční projekci, dle kterého byla elektroda ve vyhovující pozici.Funkce systému před propuštěním byla také správná (senzing vlny R 12 mV, stimulační práh 0,75 V, odpor elektrody 550 ohmů a defibrilační odpor 56 ohmů). Pacientka byla propuštěna do domácí péče s dalším ambulantním sledováním, kdy dosud neměla arytmické události nebo komplikace systémuICD (v době psaní článku šest měsíců od revize systému).
Na dislokaci elektrody je nutno pomýšlet vždy při poruše stimulačních nebo defibrilačních funkcí přístroje. Nejčastější příčinou dislokace bývá nedostatečná fixace elektrody nebo její suboptimální uložení v srdeční dutině, nedodržení klidového režimu po operaci, nadměrné zatěžování horní končetiny v časném pooperačním období, velké regurgitační toky na trikuspidální chlopni nebo výrazné napnutí elektrody při hlubokém nádechu.Na vzniku twiddler syndromu se může podílet příliš velkápodkožní kapsa přístroje a nedostatečná fixacepřístroje a elektrody. Dochází k tomu i v případě otáčení přístroje pacientem (vědomé nebo nevědomé konání, dále při větší fyzické aktivitě zvláště horních končetin anebo při psychickém onemocnění).4–6 Diagnostika dislokace elektrody spočívá v kontrole implantovaného systému a parametrů elektrod, tedy senzingu, odporu a stimulačního prahu elektrody včetně kontroly vývoje trendů těchto parametrů v čase. Rentgenový snímek hrudníku nám vizualizuje uložení a průběh elektrod přístroje. Je-li změna polohy elektrody patrná již na prostém rtg snímku, jedná se o makrodislokaci, v opačném případě mluvíme o mikrodislokaci.8 Klinický obraz dislokace elektrody je variabilní v závislosti na typu použitého systému a elektrody. Dislokace elektrody kardiostimulátoru se může projevit poruchou rytmu s projevy bradykardie, jako jsou námahová dušnost, snížená výkonnost a synkopy. Dislokace defibrilační elektrody ICD u pacienta jinak na stimulaci nezávislého může být klinicky němá, nicméně se může projevit i neadekvátní terapií z ICD v důsledku oversenzingu ze síně či u vlny P nebo fibrilačních vln při fibrilaci síní anebo „doublecountingu“ vlny P a kmitu R. Každý defibrilační výboj z ICD zvyšuje mortalitu pacientů a snižuje kvalitu života bez ohledu na adekvátnost terapie,9,10 proto je nutné cílit na minimalizování počtuvýbojů.
Prevencí vzniku twiddler syndromu je dostatečná fixace elektrody a přístroje (dle typu přístroje dvěma fixačními stehy), vytvoření podkožní kapsy optimální velikosti pro daný rozměr přístroje anebo implantace přístroje pod prsní sval.
Naše kazuistika popisuje twiddler syndrom způsobený opakovaným otáčením ICD v kapse, vědomou manipulaci přístrojem však pacientka popírala. K otáčení v relativně volnější kapse mohlo dojít ve spánku nebo spontánně při fyzické aktivitě. Nelze však také vyloučit psychogenní etiologii otáčení přístroje v kapse (vědomé chování nebo podvědomě). Dislokaci defibrilační elektrody jsme zjistili pouze při pravidelné kontrole ICD, nedošlo k neadekvátní terapii při nesprávném senzinguelektrody.
Prohlášení autorů o možném střetu zájmů
Žádný střet zájmů.
Financování
Podpořeno MZ ČR – RVO (FNBr, 65269705).
Prohlášení autorů o etických aspektech publikace
Popisovaná práce byla provedena v souladu s etickým kódem Světové lékařské asociace (WorldMedicalAssociation) (Helsinská deklarace).
Informovaný souhlas
Pacientka souhlasila s publikováním případu.
Literatura
MUDr. Samuel Lietava absolvoval studium na Lékařské fakultě Masarykovy univerzity v Brně v roce 2016, poté nastoupil na Interní kardiologickou kliniku FN Brno. Působí zde jako lékař arytmologické JIP, provádí implantace a kontroly stimulátorů a defibrilátorů v rámci arytmologické skupiny. Od roku 2016 dosud studuje doktorandský studijní program, obor kardiologie. V roce 2018 absolvoval interní kmen v oboru kardiologie, v roce 2021 složil atestaci z kardiologie.