
T. Štípalová, R. Panovský, M. Rezek, V. Feitová
Souhrn
Maligní vazospasmus koronárních arterií je vzácný, ale pravděpodobně nedostatečně diagnostikovaný, život ohrožující stav. Patofyziologie je komplexní a etiologie často neznámá. Prezentujeme případ pacienta po mimonemocniční zástavě oběhu pro fibrilaci komor, iniciálně bez průkazu významné stenózy koronárních tepen při koronární angiografii. Magnetická rezonance srdce však svědčila pro vysoce suspektní subakutní infarkt myokardu s typickým subendokardiálním ischemickým pozdním sycením. Pacient podstoupil opakované koronární angiografie, kde byly oproti prvotnímu nálezu pozorovány mnohočetné spasmy omezující průtok ve více koronárních povodích, s jejich úplným odezněním po intrakoronární aplikaci nitrátů. Pacientova medikace byla upravena dle aktuálních doporučení a byl implantován implantabilní kardioverter-defibrilátor (ICD) v sekundárně preventivní indikaci. Po čtyřech měsících byl pacient rehospitalizován pro opakované bolesti na hrudi. Brzy po přijetí dochází k zástavě oběhu pro fibrilaci komor, navzdory opakovaným defibrilačnímvýbojům z ICD a protrahované kardiopulmonální resuscitaci dochází k úmrtí pacienta. Pitevní nález potvrdil známky starého i nového infarktu myokardu bez průkazu trombů v koronárních tepnách.
© 2026, ČKS.
Klíčová slova:
Abstract
(Multimodalityimaging and itsimportance in patientwithmalignantvasospastic angina presentingwith out-of-hospitalcardiacarrest)
Malignant vasospasm is a rare but likely underdiagnosed, life-threatening condition. The pathophysiology is complex and the etiology often unknown. We present a case of a patient suffering an out-of-hospital cardiac arrest due to ventricular fibrillation, without an evidence of significant coronary artery stenosis on coronary angiogram. Magnetic resonance of the heart was highly suspected of subacute myocardial infarction with typical subendocardial ischemic pattern of late gadolinium enhancement (LGE). Patient underwent repeated coronary angiographies where, in contrast to the initial finding, multiple flow limiting spasms in several coronary territories were observed, with their complete resolution after intracoronary nitrates administration. The patient’s medication was adjusted according to current recommendations and an implantable cardioverter-defibrillator (ICD) was implanted in a secondary preventative indication. Four months later, the patient was readmitted to hospital due to recurrent chest pain. Soon after admission, cardiac arrest due to ventricular fibrillation occurs, despite repeated defibrillation shocks from the ICD and prolonged cardiopulmonary resuscitation, the patient dies. Autopsy findings confirmed signs of old and new myocardial infarction without any evidence of thrombi in the coronary arteries.
Keywords:
Adresa pro korespondenci: MUDr. Tatiana Štípalová,I. interní kardioangiologická klinika, Lékařská fakulta Masarykovy univerzity a Fakultní nemocnice u sv. Anny v Brně, Pekařská 664/53, 602 00 Brno, Česká republika, e-mail: tatiana.stipalova@gmail.com
Tento článek prosím citujte takto: Štípalová T, Panovský R, Rezek M, Feitová V. Multimodalitní imaging a jeho význam u pacienta s maligní vazospastickou anginou pectoris a mimonemocniční
zástavou oběhu. Cor et Vasa Case Reports 2026;8:10–13.
Vazospastická angina pectoris (VSA) je charakterizována přechodnou vazokonstrikcí koronárních tepen a hraje významnou roli v patogenezi stabilní anginy pectoris a akutních koronárních syndromů bez obstrukce koronárních tepen. Komplexní mechanické procesy charakterizované endoteliální dysfunkcí a hyperkontraktilitou hladkého svalstva vedou k širokému spektru klinických projevů od recidivující anginy pectoris až po fatální arytmie.1
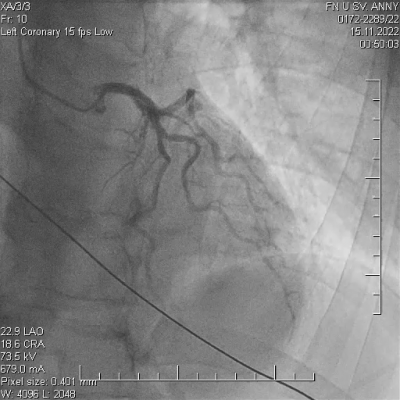
Pacient ve věku 45 let byl referován do našeho kardiocentra po mimonemocniční zástavě oběhu v terénu. Iniciálním nálezem na elektrokardiogramu (EKG)na místě zásahu byla fibrilace komor, byla poskytnuta rozšířená neodkladná resuscitace včetně orotracheální intubace a srdeční defibrilace s obnovením spontánní cirkulace do dvanácti minut. Emergentní selektivní koronarografie neprokázala žádnou významnou stenózu koronárních tepen (video 1, 2, 3), při ventrikulografii byla patrná globální hypokontraktilita levé komory, akcentovaná v oblasti spodní stěny srdeční s celkovou ejekční frakcí levé komory 30 %. V laboratorním nálezu byla s odstupem zjištěna elevace troponinu T stanoveného vysoce senzitivní metodou (hsTnT) – 3 500 ng/l (referenční rozmezí 14 ng/l) a elevovaný C-reaktivní protein (CRP) – 9,3 mg/l (referenční rozmezí 5 mg/l). Anamnéza pacienta zahrnuje bronchiální astma a nosní polypy s medikamentózní terapiísalmeterol/fluticason a omeprazol. Pacient je nekuřák, bez anamnézy abúzu drog.
Pro podezření na myokarditidu pacient podstoupil z diferenciálnědiagnostických důvodů magnetickou rezonanci srdce (CMR) s nálezem vysoce suspektního subakutního infarktu myokardu v oblasti apexu, apikální poloviny interventrikulárního septa a inferoseptálně s typickým subendokardiálním ischemickým pozdním sycením, v mezidobí došlo ke zlepšení ejekční frakce levé komory na 50 % (obr. 1, 2, 3).
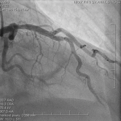
Na základě těchto výsledků pacient podstoupil opakovanou koronární angiografii, kde byl oproti prvotnímu nálezu pozorován fokální spasmus na ramusinterventricularisanterior (RIA), s jeho úplným odezněním po intrakoronární aplikaci nitrátů (video 4, 5).
V následujících hodinách po výkonu dochází k rozvoji silných bolestí na hrudi jen s částečným odezněním po sublingválním podání nitrátů, na EKG jsou přítomny deprese úseku ST s následnými elevacemi úseku ST ve spodních svodech. Bolesti neustupují ani přes kontinuální intravenózní podávání nitrátů, pacient byl odeslán k provedení emergentní rekoronarografie (celkem třetí v pořadí) s nálezem mnohočetných kritických fokálních spasmů omezujících průtok ve více koronárních povodích (video 6, 7), s jejich postupným úplným odezněním po intrakoronární aplikaci nitrátů a diazepamu (video 8, 9).
Pacientova medikace byla doplněna o dlouhodobě působící nitráty, statiny a blokátory kalciových kanálů v maximálních tolerovaných dávkách. V sekundárně preventivní indikaci byl implantován implantabilní kardioverter-defibrilátor (ICD).Pacient byl propuštěn po deseti dnech v klinicky stabilizovaném stavu. Při klinických kontrolách byl bez subjektivních potíží, bez záchytu arytmie v paměti ICD, endokrinologické vyšetření neprokázalo sekundární příčinu VSA. Po čtyřech měsících byl pacient nicméně rehospitalizován v okresní nemocnici pro opakované klidové bolesti na hrudi. Brzy po přijetí dochází k zástavě oběhu pro fibrilaci komor, navzdory opakovaným defibrilačnímvýbojům z ICD a protrahované kardiopulmonální resuscitaci dochází k úmrtí pacienta. Pitevní nález potvrdil známky starého i nového infarktu myokardu bezprůkazu trombů v koronárních tepnách.
VSA je heterogenní jev, který se může objevit u pacientů s aterosklerózou nebo bez ní a postihuje epikardiální koronární tepny nebo mikrovaskulární systém.
Patofyziologie VSA je charakterizována poruchou vazomotoriky v jedné nebo více koronárních tepnách.1 Enzym Rho-kináza, přítomný v buňkách hladkého svalstva cév, je zásadním regulátorem hyperkontraktility. Zvýšená aktivita Rho-kinázy vede k nadměrné fosforylaci lehkých řetězců myosinu, což vede ke stavu hyperkontraktility.2 Dalším patofyziologickým mechanismem je endoteliální dysfunkce, která vede k deficitu endogenního oxidu dusnatého a dále k proliferaci vazokonstrikčních metabolitů.3 Tato mechanistická dráha objasňuje, proč několik vazodilatancií závislých na endotelu (např. acetylcholin, ergometrin, histamin a serotonin) vyvolávají vazokonstrikci u pacientů s VSA.4 Dále ilustruje zvýšený účinek vazodilatancií nezávislých na endotelu (např. nitrátů) v tomto prostředí.5
Přítomnost několika zánětlivých biomarkerů, včetně CRP, interleukinu 6 (IL-6) a adhezních molekul, zdůrazňuje roli chronického mírného zánětu u VSA.6
Klinické spektrum je variabilní, zahrnuje zejména přechodnou, nezátěžovou, na nitráty reagující anginu pectoris, která se nejčastěji vyskytuje v noci nebo brzy ráno.7
Za zlatý standard v diagnostice VSA je považováno invazivní provokační testování pomocí intrakoronárního acetylcholinu nebo ergonovinu, ale mezi různými pracovišti existují velké rozdíly a neexistuje jednotný globálně přijatý protokol testování vazospastické anginy pectoris v intervenčních laboratořích.1
U pacientů hospitalizovaných pro akutní infarkt myokardu bez obstrukce koronárních tepen (myocardialinfarctionwith non-obstructivecoronaryarteries, MINOCA) se doporučuje provedení CMR po invazivní angiografii, pokud není konečná diagnóza jasná.8 Přínos CMR zde spočívá zejména v hodnocení tkáňové charakteristiky myokardu. U ischemického postižení nacházíme většinou přítomnost LGE v lokalizaci odpovídající infarktové tepně a vždy je postižena subendokardiální oblast.Nepřítomnost typického obrazu LGE ischemického postižení má velmi vysokou negativní prediktivní hodnotu (94 %) z hlediska vyloučení ischemické etiologie. Je nutno zdůraznit, že negativní nález při koronarografickémvyšetření nemusí vylučovat ischemickou etiologii kardiálního postižení, tak jako tomu bylo v našem případě.9 Lze shrnout, že kombinace normálního koronarografického nálezu s výsledkem CMR neprokazujícím ischemický typ LGE s velmi vysokou pravděpodobností odliší ischemickou a neischemickou etiologii kardiálního postižení.10
Konvenční farmakologická terapie VSA se opírá o blokátory kalciových kanálů a dlouhodobě působící nitráty.11Blokátory kalciových kanálů (BKK)zahrnují dihydropyridiny (nifedipin, amlodipin a benidipin) a nondihydropyridiny (verapamil a diltiazem).BKK účinně zabraňují vazospasmům a jsou doporučenou léčbou první volby pro pacienty s VSA. Zabraňují vstupu vápenatých iontů (Ca2+) do buněk hladkého svalstva cév blokováním napěťově řízených kanálů typu L, což způsobuje vazodilataci.1U těžké VSA mohou být zapotřebí vysoké dávky BKK (2 × 200 mg diltiazemu denně), nebo dokonce kombinace obou druhů BKK.Nedávná studie ukázala, že pacienti s VSA užívající BKK druhé generace (amlodipin a benidipin) mají významně nižší výskyt AKS ve srovnání s BKK první generace (diltiazem a nifedipin).1
Užitečnost protidestičkové léčby u VSA je sporná. Na základě současných dostupných informací se zdá, že protidestičková léčba nemusí být u pacientů s MINOCA spojena s lepšími klinickými výsledky.15Více rozsáhlých studií dospělo k závěru, že u pacientů s VSAbez současné přítomnosti významné stenózy koronární arterie nemusí kyselina acetylsalicylová poskytovat žádný přínos z hlediskazávažných nežádoucích kardiovaskulárních příhod (MACE) nebo srdeční smrti.14Měla by proto být vyhrazena pro VSA se současnou ICHS. Vzhledem k absenci specializovaných randomizovaných studií je však role protidestičkové terapie upacientů s MINOCA předmětem diskuse a současná doporučení vycházejí z registrů a názoru odborníků.15
Úpravy životního stylu a konvenční farmakoterapie jsou základem soudobé terapie, nicméně léčba refrakterních případů zůstává nadále velkou výzvou s celou řadou nevyřešených otázek. Většina studií se shoduje, že léčba blokátory kalciových kanálů a abstinence kouření jsou zásadní prognostické markery.12
Prognóza pacientů s VSA aprodělanou zástavou oběhu s úspěšnou resuscitací je mnohem závažnější než u pacientů bez anamnézy oběhové zástavy.5 Pokročilý věk, mnohočetné koronární spasmy a zvýšená hodnota CRP jsou dalšími významnými prediktory mortality.
Další výzkum všeobecně uznávané diagnostické a terapeutické strategie je nutný ke zlepšení kvality péče poskytované pacientům s VSA.
Mnohočetné koronární spasmy jsou méně častou příčinou akutního koronárního syndromu a jedná se o potenciálně vysoce závažný stav s možnými fatálními následky. Případ demonstruje mimo jiné roli multimodalitních zobrazovacích metod v diferenciálnědiagnosticky nejasných klinických situacích. I přes komplexní terapeutický přístup včetně zajištění pacienta ICD končí případ fatálně, což potvrzuje nutnost dalších výzkumů v diagnostice a terapii VSA.
Prohlášení autorů o možném střetu zájmů
Žádný střet zájmů.
Financování
Tato publikace vznikla za podpory specifického vysokoškolského výzkumu MUNI/A/1624/2023.
Prohlášení autorů o etických aspektech publikace
Práce byla vedena v souladu s etickými standardy.
Informovaný souhlas
Pacient při propuštění z naší kliniky souhlasil s publikací případu.
Literatura
MUDr. Tatiana Štípalová absolvovala studium na Lékařské fakultě Masarykovy univerzity v Brně v roce 2012, poté nastoupila na Kardiologické oddělení Nemocnice Jihlava. V roce 2014 absolvovala interní kmen a od roku 2016 doposud pracuje na I. interní kardioangiologické klinice Fakultní nemocnice u sv. Anny v Brně. Věnuje se především echokardiografii a magnetické rezonanci srdce a v současnosti se připravuje na atestaci v oboru kardiologie.