
R. Havlíček
Souhrn
S rostoucím počtem pacientů užívajících antikoagulační terapii přirozeně přibývá i případů, kdy lékař musí akutně řešit situace, kdy je tato léčba komplikujícím faktorem. S rozšiřujícím se portfoliem této skupiny léčiv pak stoupá i nutnost být obeznámen se stále se rozšiřujícími možnostmi, jak účinky antikoagulancií bezpečně a bezodkladně eliminovat. Kazuistika popisuje 62letého muže, který byl přivezen záchrannou službou pro akutní mozkovou příhodu. Zásadní v celém rozhodovacím algoritmu byla informace o užívání dabigatranu pro předchozí plicní embolii.
© 2019, ČKS.
Klíčová slova:
Antidotum
Antikoagulace
Ischemická mozková příhoda
NOAC
Terapeutický algoritmus
Abstract
With the increasing number of patients on anticoagulant therapy, there is a natural increase in cases where the physician must, if necessary, address acute situations where this treatment is a complicating factor. With the expanding portfolio of this drug group, there is a growing need to be familiar with the ever-expanding possibilities of eliminating the effects of anticoagulants safely and without delay. This case report refers to a 62-year-old man who was brought to emergency room with an acute stroke. Essential in the decision making algorithm was the information on his use of dabigatran for previous pulmonary embolism.
Keywords:
Anticoagulants
Antidote
Ischemic stroke
NOACS
Therapeutic algorithm
Akutní revaskularizace extrakraniálních a intrakraniálních tepen se v současné době opírá o intravenózní trombolýzu (IVT) a mechanickou trombektomii (MT). Vše od prvního kontaktu s pacientem, u něhož je podezření na akutní cévní mozkovou příhodu (CMP), směřuje k co nejrychlejší diagnostice jejího subtypu a k podání kauzální léčby. U nemocných s ischemickou mozkovou příhodou (iCMP) s indikací v čase do 4,5 hodiny od vzniku příznaků a ve zvláště vyjmenovaných specifických případech (např. „wake-up ikty“ nebo izolovaná trombóza arteria basilaris s příznivým nálezem při zobrazovacích vyšetřeních) se jedná dominantně o podání IVT. Provedení IVT je však mimo jiné závislé na koagulačních parametrech mnohdy modifikovaných léčbou. Specifickým případem jsou pak nová perorální antikoagulancia (NOAC). Především pro celoplošnou nehomogennost možnosti jejich detekce nebo pro chyby interpretace provedených laboratorních testů. Samostatnou kapitolou je pak management výše uvedené klinické situace. Sdělení si klade za cíl napomoci s organizací léčby takto nemocných a s orientací v dostupných laboratorních testech. Vše s přihlédnutím k časové náročnosti jejich provedení. Důvodem je minimalizovat zdržení od stanovení diagnózy po podání účinné léčby a zároveň postupovat farmakoekonomicky racionálně.
Jednalo se o 62letého muže s akutní iCMP, jenž byl přijat na naši iktovou jednotku intenzivní péče (JIP) v lednu 2018. V anamnéze byl zásadní údaj o prodělané plicní embolii (v srpnu 2017) na antikoagulační terapii. Dále stav po plastice mitrální chlopně (v srpnu 2013). Z ostatního stála ještě za zmínku hypercholesterolemie s medikací statinem a stav po lokálním odstranění kožního melanomu v roce 1999. Udávaná sideropenická anémie nebyla přítomna. Nejspíše se projevoval vliv podávané substituce železa. Známky jasné chronické žilní insuficience nebyly patrné. Rodinná anamnéza byla nevýznamná. Farmakologická anamnéza bez polypragmazie. Konkrétně: Pradaxa 150 1-0-1, Sortis 40 mg 0-0-1, Detralex 2-0-0 a Maltofer 1-0-0. Jinak se jednalo o běžného Středoevropana, bez zvláštních koníčků, nebo stravovacích zálib. Civilní povolání však bylo zcela neobvyklé – hudebního skladatele a pedagoga světového renomé neléčíme každý den!
Pacient byl avizován v souladu s pokyny věstníku MZ 10/2012 o péči pro pacienty s CMP a v čase + 155 min od vzniku příznaků byl dopraven na oddělení emergency naší nemocnice. Vstupní vyšetření konstatovalo centrální lézi n. VII vlevo a kolísající pravostrannou hemiparézu s akcentem na pravé dolní končetině. Vstupní NIHSS (National Institute of Health Stroke Scale) dosahovalo 4–6 b. Byly provedeny odběry statim, v koagulaci vzhledem k medikaci dabigatranem i trombinovému času (TT) s požadavkem na následné dourčení dilutovaného trombinového času (dTT). V této fázi je třeba mít na zřeteli, že klasický aktivovaný parciální tromboplastinový čas (aPTT) sám o sobě nestačí a pro bezpečné podání IVT je nutná znalost TT, respektive fakt, že hodnoty obou parametrů jsou v pásmu normy. Pro větší jistotu klinika pak doporučuji, je-li to možné, zjistit údaj o poslední podané dávce. Zde byl pacient v kontaktu a udával, že poslední tabletu užil předchozí den večer (tedy přibližně před 15 hodinami), což byla v této situaci vzhledem ke znalosti vylučování dabigatranu jistě dobrá zpráva. Maximální koncentrace dabigatranu je dosaženo dvě hodiny po podání, minimální po 10–16 hodinách (obr. 1).
Obr. 1 – Geometrický průměr (n = 6) – Pradaxa 200 mg. aPtt – aktivovaný parciální tromboplastinový čas; ECT – ekarinový koagulační čas; INR – mezinárodní normalizovaný poměr; TT – trombinový čas.Zároveň však bylo jasné, že nejde o selhání léčby jako takové. Bezprostředně provedené tomografické vyšetření (CT) prokazovalo nevýrazné hypodenzity v levé frontální oblasti parasagitálně a okluzi periferie levé arteria cerebri anterior (ACA) (obr. 2).
Obr. 2 – CTAG s průkazem okluze periferie ACA vlevo• Časová osa:
Vznik příznaků: 11.00 Emergency: 13.35 CT vyš.: 13.55
Pokud by se jednalo o neantikoagulovaného nemocného, mohli bychom ihned po CT v čase 20 minut od vstupu do nemocnice (door to needle time [DNT] + 20 min) podat kauzální léčbu, tedy IVT. V tomto případě, kdy pacient užívá NOAC, se situace zcela zásadně mění.
U xabanů (apixaban, rivaroxaban) vyjadřujeme aktivitu primárně buď v antiXa jednotkách, nebo změříme přesnou plazmatickou koncentraci v µg/l. Rutinní antiXa však k hodnocení aktivity léčiva nepostačuje a určení plazmatické koncentrace je pak časově relativně náročná metoda (trvá přibližně jednu hodinu). Při nulové koncentraci bychom teoreticky mohli IVT podat, při jakékoliv jiné ale není podání rekombinantního tkáňového aktivátoru plazminogenu (rt-PA) 24 hodin od posledního podání doporučeno. V ideálních podmínkách by zde DNT činil +120 min.
Náš pacient užívající dabigatran byl v jiné situaci. Pro bezpečné podání IVT je sice zapotřebí mít hodnoty aPTT a TT v pásmu normy, nicméně již samotné prodloužení aPTT signalizuje, že je namístě podání specifického antidota a následně IVT. Zde nás vstupní aPTT 33,9 s nikam neposunulo. Dále se nabízely dvě alternativy:
• Vyčkat TT a při jeho normálních hodnotách podat IVT. Pro zajímavost náklady na IVT zhruba 20 000 Kč po zaokrouhlení.
• Podat bez odkladu idarucizumab a následně IVT. Náklady zhruba 70 000 Kč po zaokrouhlení.
I přes úvahu, že TT bude nejspíše normální (poslední dávka dabigatranu přibližně před 17 hodinami), jsme se rozhodli k podání specifického antidota (Praxbind 5 + 5 mg v celkem 10min infuzi) + IVT, což se později ukázalo jako prozíravé. Hodnota TT byla 108,6 s (14–20 s). Zde bych chtěl apelovat na vedoucí lékaře a sestry centrálních příjmů, aby strategická léčiva deponovali přísně na jednom místě. V našem případě se jednalo o první použití idarucizumabu v nemocnici a deponovaný lék v mezidobí od naskladnění třikrát změnil místo uložení. Jeho hledání opravdu nebylo snadné... Po neutralizaci dabigatranu 10min infuzí byla v DNT +74 min podána IVT. Obojí se obešlo bez komplikací.
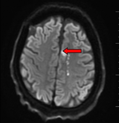
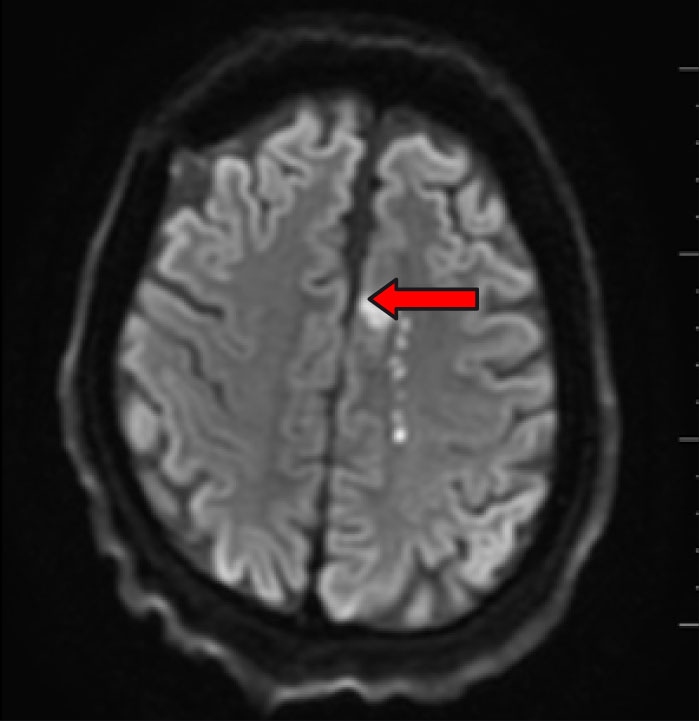
Kontrolní doporučené koagulační odběry nevykazovaly patologii. Následné CT a MR (obr. 3, 4) prokazovaly pouze drobné postischemické změny v povodí ACA vlevo. Primární kardiologické došetření pro suspektní embolizační etiologii neprokázalo zjevnou patologii. Nicméně pacient bude ještě superkonziliárně přešetřen.
* Echokardiografie: dobrá systolická funkce LK (ejekční frakce 55 %), dilatace LS, hraniční velikost PK, stopová mitrální regurgitace, chlopeň po plastice, trikuspidální regurgitace, lehká až maximálně střední, lehká plicní hypertenze. Pravolevý zkrat neprokázán.
* Holterovské 24hodinové EKG monitorování: velmi častá bimorfní komorová ektopie, jinak bez záchytu fibrilace síní.
Další průběh byl příznivý. Pacient na akutních rehabilitačních lůžkách deficit zkompenzoval, při tříměsíční kontrole byla patrna pouze sporná pravostranná hemiparéza a mírně zpomalené psychomotorické tempo. Hodnoceno modifikovanou Rankinovou škálou (mRS – 1b). V sekundární prevenci byl ponechán dabigatran 150 mg 1-0-1. Ostatní chronická medikace zůstala beze změny.
1. Stále častější užívání NOAC u našich nemocných musí jít ruku v ruce se znalostí, jak v případě nutnosti tuto medikaci bezpečně neutralizovat. Ideálním kandidátem je v tomto případě, jak vyplývá z výše uvedeného časového průběhu a terapeutických možností, dabigatran, který má své specifické antidotum.
2. Deficit, který pacienta přivede do nemocnice, je pro něj vždy významný! Čekání na výsledky koagulačních vyšetření a s tím spojený odsun léčby je proto značně diskutabilní. Je nutné si uvědomit, že náklady na léčbu pacientů s iktem nejsou jen ty na začátku, ale hlavně následné u významně handicapovaných nemocných.
3. Z podstaty věci je bezpodmínečně nutné mít takovéto strategické léčivo na všeobecně známém, dostupném místě a jeho přítomnost + exspiraci kontrolovat. Jako ideální se jeví prostor centrálního příjmu.
Slovo pacienta: Pokud jste si letošní 73. ročník Pražského jara užili, pak se sluší podotknout, že je to i díky léčebnému týmu jednoho dočasně handicapovaného milovníka hudby... Váš M. M.
|
„Ideální“ varianta |
Nekoagulovaný |
Xaban nulová koncentrace |
Praxbind: jednotné úložiště |
Praxbind: nestálé uložení |
|
DNT |
+20 min |
+120 min |
30 min |
+74 min |
V roce 2004 složil MUDr. Roman Havlíček atestaci z neurologie I. stupně, v roce 2006 získal specializovanou způsobilost v oboru neurologie, v roce 2009 absolvoval kurs akutní neurologie a intenzivní péče v neurologii. V roce 2010 složil atestaci v oboru intenzivní medicína a v roce 2013 obdržel licenci vedoucího lékaře v oboru neurologie. Od roku 2004 působí na Neurologickém oddělení ÚVN, od roku 2014 na pozici primáře tohoto oddělení. Je členem atestační komise neurologie od roku 2017, hlavním odborníkem pro obor neurologie AČR. Je členem České neurologické společnosti ČSL JEP, České neuroradiologické společnosti ČLS JEP, je místopředsedou Neurointenzivistické sekce České neurologické společnosti.