
T. Kvasnička
Souhrn
Předkládaná kazuistika ukazuje případ 47letého pacienta, který byl předoperačně (plastika vazu LCA kolene levé dolní končetiny [LDK]) hodnocen z hlediska rizika tromboembolické nemoci (TEN) jako nízkorizikový a u kterého došlo k pooperační manifestaci hluboké žilní trombózy (HŽT) (pooperačně nebyl zajištěn žádnou tromboprofylaxí). Byla u něho prokázána FV leidenská mutace v heterozygotní konstituci. Pacient byl od počátku léčen apixabanem (Eliquis), v souladu s doporučovanými dávkovacími standardy dle SPC. Po redukci dávky přípravku Eliquis po šesti měsících terapie byla zjištěna recidiva HŽT ve formě ileofemorální flebotrombózy LDK současně s bilaterální plicní embolizací. Kalibrovaná monitorace antiXa (IU/ml) pro apixaban ukázala nedostatečný efekt léčby. Důvodem recidivy TEN z našeho pohledu byla tedy nedostatečně účinná antikoagulační terapie s apixabanem v redukované dávce 2,5 mg 2× denně. Byla dále zvolena terapie přípravkem Pradaxa v dávce 2× 150 mg denně v indikaci prevence rekurence TEN. Terapie je monitorována pomocí kalibrovaných testů (Hemoclot). Léčba je efektivní, bez krvácivých komplikací a je volena jako terapie dlouhodobá.
© 2019, ČKS.
Klíčová slova:
AntiXa
Apixaban
Dabigatran etexilát
Hemoclot
Tromboembolická nemoc
Tromboprofylaxe
Abstract
The present report shows a case of 47-year-old patient who was preoperatively (LCA ligament of LDK ligament sculpture) assessed as “low-risk” for thrombosis and who had postoperative manifestation of DVT (no thromboprophylaxis postoperatively). FVLeiden mutation in heterozygous constitution has been demonstrated. The patient was treated with apixaban (Eliquis) from the beginning, in accordance with the recommended SPC dosage standards. After reducing the dose of Eliquis after 6 months of therapy, recurrence of DVT was found (ileofemoral phlebothrombosis and pulmonary embolism). Calibrated anti Xa monitoring (IU/ml) for apixaban showed insufficient effect in treatment. The reason for the recurrence of thromboembolism, from our point of view, was inadequate anticoagulant therapy with apixaban at a reduced dose of 2.5 mg twice daily. Further, Pradaxa therapy was selected at 2×150 mg daily in the indication of prevention of recurrence of thromboembolism. The therapy is monitored by calibrated tests (Hemoclot). Treatment is effective without bleeding complications and is chosen as a long-term therapy.
Keywords:
AntiXa
Apixaban
Dabigatran etexilate
Hemoclot
Thromboembolic disease
Thromboprophylaxis
Předkládaná kazuistika ukazuje případ 47letého pacienta, který byl předoperačně (plastika vazu ligamentum cruciatum anterior [LCA] kolene levé dolní končetiny [LDK]) hodnocen z hlediska rizika tromboembolické nemoci (TEN) jako nízkorizikový a u kterého došlo k pooperační manifestaci hluboké žilní trombózy (HŽT) (pooperačně nebyl zajištěn žádnou tromboprofylaxí). Byla u něho prokázána FV leidenská mutace v heterozygotní konstituci. Pacient byl od počátku léčen apixabanem (Eliquis), v souladu s doporučovanými dávkovacími standardy dle SPC. Po redukci dávky apixabanu po šesti měsících terapie byla zjištěna recidiva HŽT ve formě ileofemorální flebotrombózy LDK současně s bilaterální plicní embolizací. Kalibrovaná monitorace antiXa (IU/ml) pro apixaban ukázala nedostatečný účinek léčby. Důvodem recidivy TEN z našeho pohledu byla tedy nedostatečně účinná antikoagulační terapie s apixabanem v redukované dávce 2,5 mg 2× denně. Dále byla zvolena terapie přípravkem Pradaxa v dávce 2× 150 mg denně v indikaci prevence rekurence TEN. Terapie je monitorována pomocí kalibrovaných testů (Hemoclot). Léčba je efektivní, bez krvácivých komplikací a je volena jako terapie dlouhodobá.
Muž, 47 let, dlouhodobě bez medikace, v minulosti nikdy vážněji nestonal, s BMI = 32, IT specialista, nekuřák, v osobní i rodinné anamnéze bez výskytu manifestní formy TEN, v lednu 2017 měl sportovní úraz: ruptura kolenního vazu LCA LDK. V únoru 2017 mu byla na ortopedii provedena plastika vazu LCA.
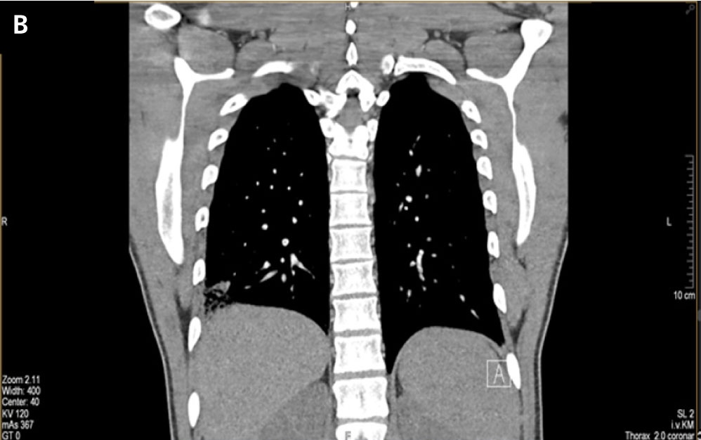
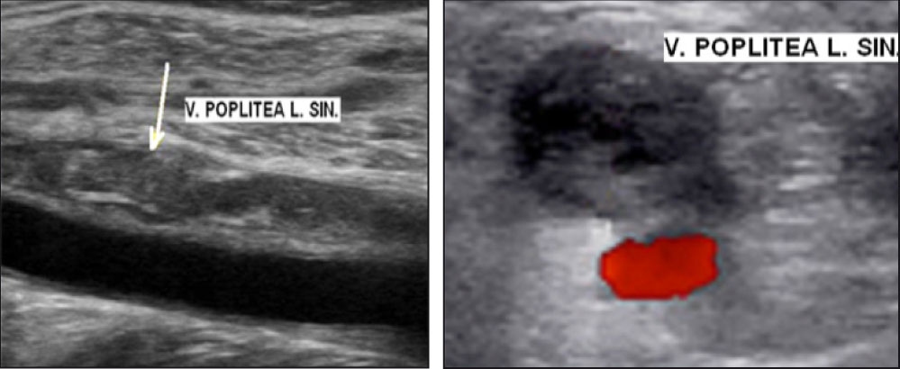
Komplikace pátý pooperační den: rozvoj levostranné popliteální HŽT (verifikace pomocí duplexního ultrazvukového vyšetření [DUZ], viz obr. 1). Předoperačně byl pacient hodnocen z hlediska rizika TEN jako nízkorizikový. Pooperačně tedy nepodávána žádná preventivní tromboprofylaxe. Laboratorně hodnota D-dimerů 785 µg/l [1..190], současně průkaz trombofilního geneticky determinovaného stavu – FV leidenská heterozygotní mutace (FVL het.). Dále laboratorně jaterní funkce v normě, renální parametry v normě, MDRD (Modification of Diet in Renal Disease) 1,28 ml/s [1..1,5]. Iniciálně byl podáván jako antikoagulační terapie Eliquis tbl. 2× 10 mg (10 dní), dále pokračováno s dávkou 5 mg 2× denně.
Kontrola po třech měsících: Klinicky nebyla detekována stranová diferenciace v obvodu lýtek. Dále pokračoval s pohybovou rehabilitací. Tolerance medikace byla dobrá. Pacient nosil kompresní terapii do stehna stupně 2. Laboratorně hodnota D-dimerů byla s poklesem na 188 µg/l [1..190], hodnota FVIII 167 IU/ml [norma do 150], jaterní funkce i renální parametry v normě, MDRD 1,28 ml/s [1..1,5]. Byla vydána legitimace pro pacienty s trombofilní mutací – FVL het. (poučení o nutnosti prevence TEN v rizikových situacích). Kontrolní DUZ s popisem neúplná rekanalizace postižené oblasti.
Kontrola po šesti měsících: Klinicky nebyla detekována stranová diferenciace v obvodu lýtek. Dále pokračoval s pohybovou rehabilitací. Tolerance medikace byla dobrá. Pacient nosil už jen intermitentně kompresní terapii do stehna stupně 2. Laboratorně hodnota D-dimerů dosahovala 192 µg/l [1..190], hodnota FVIII 154 IU/ml [norma do 150], jaterní funkce i renální parametry v normě, MDRD 1,26 ml/s [1..1,5]. Kontrolní DUZ opět s popisem neúplná rekanalizace postižené oblasti. Vzhledem k neúplné rekanalizaci a FVLeiden het. bylo rozhodnuto pokračovat v antikoagulační terapii po dobu 9–12 měsíců. V souladu s SPC byla snížena dávka přípravku Eliquis na 2× 2,5 mg denně.
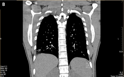
Komplikace nastala v sedmém měsíci při terapii Eliquis tbl. 2× 2,5 mg (snížená dávka po šesti měsících terapie dle SPC): recidiva HŽT ve formě ileofemorální HŽT LDK současně s bilaterální hemodynamicky stabilní plicní embolizací (provedeno CTAG) (obr. 2). Laboratorně hodnota D-dimerů 885 µg/l [1..190], hodnota FVIII 174 IU/ml [norma do 150], provedený základní onkologický screening byl v normě, byly vyloučeny „vzácné“ formy trombofilie (F:VII, IX, XI, XII, JAK-2 neg.).
Obr. 1 – DUZ: iniciální nález pooperační levostranné popliteální HŽT
Důvodem recidivy TEN z našeho pohledu byla nedostatečně účinná antikoagulační terapie s apixabanem v dávce 2,5 mg 2× denně p.o., v době podávání této dávky byla provedena kalibrovaná monitorace antiXa (IU/ml) min.: 0,12 (norma: 0,17–1,40), max.: 0,45 (norma 0,46–2,5). Otázka pro nás byla, jak dále postupovat v antikoagulační terapii v případě recidivy HŽT při nedostatečně účinné antikoagulační terapii? Bylo rozhodnuto přejít na antikoagulační terapii přípravkem Pradaxa. Iniciálně byl aplikován Fraxiparine 1,0 ml 2× denně s.c. na sedm dní (hmotnost pacienta byla 104 kg), dále bylo pokračováno s přípravkem Pradaxa v dávce 150 mg 2× denně. Jaterní funkce i renální parametry v normě, MDRD 1,28 ml/s [1..1,5].
Kontrola byla po 12 týdnech užívání: Klinicky přetrvávala stranová diferenciace v obvodu lýtek (+2,5 cm LDK). Pacient nosil dále elastickou kompresní terapii na LDK (stupeň 2). Laboratorně hodnota D-dimerů byla 176 µg/l [1..190], popis DUZ: částečná rekanalizace postižené oblasti (reziduální změny v oblasti v. poplitea a bércových žil vlevo).
Další kontrola po šesti měsících: Klinicky stranová diferenciace v obvodu lýtek (+2,0 cm LDK). Renální, jaterní funkce: v normě, koncentrace D-dimerů: 186 µg/l [1..190], MDRD 1,26 ml/s [1..1,5]. Kontrolní DUZ mapping: popisovány identické změny (charakteru posttrombotického syndromu). Dále laboratorně aktivovaný parciální tromboplastinový čas (aPTT) 41, test Hemoclot 118 ng/ml (v době minimální plazmatické koncentrace).
Kontrola po 12 měsících: Pacient klinicky bez potíží, přetrvává stranová diferenciace v oblasti obvodu lýtek, kompresivní punčochu dále odmítal nosit. Laboratorně renální i jaterní funkce v normě, MDRD 1,28 ml/s [1..1,5], hodnota D-dimerů: 242 µg/l [1..190], aPTT 36, FVIII 152 IU/ml [norma do 150], kontrolní DUZ: identický nález chronických změn jako při posledním vyšetření.
Hemoclot Cmin: 96 ng/ml (v době min. plazmatické koncentrace, za 12 h po užití přípravku Pradaxa tbl. 150 mg) [norma 61–143], data z SPC, Hemoclot Cmax: 142 ng/ml (v době max. plazmatické koncentrace, za 2 h po užití přípravku Pradaxa tbl. 150 mg) [norma 117–275], data z SPC.
Po zvážení poměru užitku a eventuálního rizika z podávané antikoagulační terapie, po opětovném posouzení individualizovaného rizika pacienta z hlediska možnosti rekurence TEN, se souhlasem a preferencí pacienta (odmítal warfarinizaci), bylo rozhodnuto pokračovat u pacienta s terapií přípravkem Pradaxa 2× 150 mg denně v indikaci prevence rekurence TEN. Důvodem bylo vysoké riziko recidivy: 2× zdokumentovaná manifestace TEN (HŽT, HŽT + PE), recidiva TEN během antikoagulační terapie apixabanem, přítomná forma významné geneticky determinované trombofilie (FVLeiden het.), známky posttrombotického syndromu v oblasti LDK.
Vzhledem k limitaci úhradových podmínek příslušné zdravotní pojišťovny si terapii přípravkem Pradaxa dále hradí pacient jako samoplátce. Je pravidelně kontrolován v Trombotickém centru VFN Praha.
Kazuistika názorně ukazuje, jak dále postupovat v antikoagulační terapii v případě recidivy HŽT/PE při nedostatečně účinné původní formě antikoagulační terapie apixabanem. Při rekurenci TEN při antikoagulační terapii s novým perorálním antikoagulanciem (NOAC) je doporučováno dále pokračovat s terapií iniciálně nízkomolekulárním heparinem (LMWH), dále s účinnou warfarinizací. Přesto byla zvolena jako další postup monitorovaná terapie s přípravkem Pradaxa, i vzhledem k preferenci pacienta, který odmítal warfarinizaci, a jinému zásahu v koagulační kaskádě (gatran, Pradaxa, inhibice trombinu) oproti xabanům (Eliquis, inhibice FXa).
Pacienti s anamnézou již proběhlé TEN bez antikoagulační terapie mají obecně až 40násobně vyšší riziko recidivy, než je riziko první TEN u jiných osob. Téměř 40 % pacientů má recidivu TEN do deseti let od první příhody. Incidence rekurence manifestní formy tromboembolismu při antikoagulační terapii z hlediska nedostatečnosti klinických dat je významný problém.
Možné důvody rekurence TEN během antikoagulační terapie jsou:
Kazuistika ukazuje, jak významná je volba vhodného perorálního antikoagulačního přípravku při terapii akutní formy hluboké žilní trombózy z hlediska bezpečnosti a hlavně účinnosti, to v kontextu doporučovaných dávkovacích schémat (SPC). Ukazuje rovněž na význam monitorace účinku podávané antikoagulační terapie.
V případě prokázání recidivy TEN při podávané antikoagulační terapii je např. doporučován následující postup uvedený na www.bloodjournal.org 2016 (127:696–702).
Otázce, jak v klinické praxi postupovat v případě zjištění recidivy během antikoagulační terapie, se také věnují např. doporučení 10. ACCP: u pacientů s recidivou TEN během léčby warfarinem (antagonisty vitaminu K, VKA) (při terapeutickém rozmezí mezinárodního normalizovaného poměru [INR] 2–3) nebo NOAC (dabigatran, rivaroxaban apixaban, edoxaban) je doporučen trvalý nebo alespoň dočasný přechod na LMWH (zde pouze stupeň 2C). Tento postup se týká hlavně pacientů s aktivní formou nádorového onemocnění, se zvýšeným rizikem rekurence TEN při antikoagulační terapii. Oproti doporučením z www.bloodjournal.org 2016 (127:696–702) zde není preference dlouhodobé účinné warfarinizace.
Oproti výše uvedeným doporučením (preference pokračování v terapii iniciálně LMWH, dále účinná warfarinizace) při recidivě TEN při terapii NOAC (apixaban) byla zvolena jako další postup monitorovaná terapie s přípravkem Pradaxa. Významným faktem při rozhodování o další antikoagulační terapii byla preference pacienta, který odmítal warfarinizaci. Dalším významným faktem bylo zjištění, že dávka přípravku Eliquis 2× 2,5 mg denně byla laboratorním testováním, pomocí kalibrovaných metod u konkrétního pacienta, hodnocena jako ne zcela účinná.
Obecně preferované postupy v podávání další antikoagulační terapie při recidivující formě TEN při terapii NOAC jsou podávat iniciálně LMWH a dále účinná warfarinizace. Naším postupem byla další terapie s jinou formou NOAC, s jiným zásahem v koagulační kaskádě (gatran, Pradaxa, direktivní inhibice trombinu) oproti xabanům (Eliquis, direktivní inhibice FXa).
Body k zapamatování:
VELMI DŮLEŽITÉ
1. VOLBA VHODNÉHO ANTIKOAGULANCIA VÝRAZNĚ SNÍŽÍ PACIENTOVI RIZIKO REKURENCE TEN.
2. PŘI DETEKCI REKURENCE TEN PŘI ANTIKOAGULAČNÍ TERAPII JE VŽDY NUTNÉ: zhodnotit, zda se jedná o skutečnou recidivu; zhodnotit compliance pacienta k nasazené léčbě; pátrat po skryté malignitě.
3. TERAPIE TEN S PŘÍPRAVKEM PRADAXA U PACIENTA POSKYTUJE BEZPEČNOU A ÚČINNOU ANTIKOAGULACI PŘI MOŽNOSTI ÚČINNÉ LABORATORNÍ MONITORACE EFEKTU LÉČBY.
4. TERAPIE PŘÍPRAVKEM PRADAXA ZÁROVEŇ POSKYTUJE MOŽNOST PODÁNÍ ÚČINNÉHO ANTIDOTA V PŘÍPADĚ KRVÁCIVÝCH KOMPLIKACÍ NEBO NUTNOSTI NEODKLADNÉHO INVAZIVNÍHO/OPERAČNÍHO VÝKONU.
V roce 1995 doc. MUDr. Tomáš Kvasnička, CSc., absolvoval obor všeobecné lékařství na 1. lékařské fakultě Univerzity Karlovy v Praze. Po zahraničních stážích následně pracoval na III. interní klinice VFN v Praze. Od roku 2009 je vedoucím Trombotického centra VFN. V klinické i vědecké práci se věnuje problematice trombotických a trombofilních stavů.