
R. Stříbrný, M. Táborský, T. Skála, M. Köcher, M. Fedorco
Souhrn
Autoři ve svém sdělení prezentují případ 34letého muže, který v nedávné době podstoupil komplexní kardiochirurgický výkon pro infekční endokarditidu, po kterém trvala atrioventrikulární blokáda III. stupně (AVB III. st.). Následovaly opakované neúspěšné implantace konvenčních kardiostimulátorů a epikardiálního kardiostimulátoru z důvodů infekcí. Pro tyto komplikace bylo přistoupeno k implantaci leadless kardiostimulátoru Micra (Medtronic, Minneapolis, MN, USA). Několik dní po implantaci byla zjištěna neefektivní stimulace, následně byla skiaskopicky potvrzena raritní makrodislokace přístroje do větve levé pulmonální arterie. Leadless kardiostimulační systém byl explantován pomocí konvenčního řiditelného sheathu (Agilis, St. Jude Medical, St. Paul, MN, USA), v kombinaci s explantační kličkou (single-loop gooseneck snare, COOK Medical, Bloomington, IN, USA). Pro opakované epizody synkopy bylo rozhodnuto o implantaci nového leadless kardiostimulátoru. Tentokrát se již nevyskytly žádné komplikace a pacient mohl být propuštěn domů.
Klíčová slova:
Atrioventrikulární blokáda III. stupně
Dislokace leadless kardiostimulátoru
Explantace kardiostimulačního systému Micra
Infekce kapsy kardiostimulátoru
Infekční endokarditida
Abstract
Authors present a case of a 34-year-old man who recently underwent complicated cardiac surgery due to infective endocarditis. A third-degree atrioventricular block has emerged right after the surgery. Repeatedly, endo- and epi-cardiac pacemakers had to be explanted due to infection. Because of these complications a leadless pacemaker Micra (Medtronic, Minneapolis, MN, USA) was implanted. A couple days later, ineffective pacing on electrocardiography was evident. Fluoroscopy revealed a very uncommon pacemaker macrodislocation to the left branch of pulmonary artery. The Leadless Cardiac Stimulation System Micra was thereafter successfully retrieved using a single loop retrieval snare (single-loop gooseneck snare, COOK Medical, Bloomington, IN, USA) guided by a steerable sheath (Agilis, St. Jude Medical, St. Paul, MN, USA). Due to repeated syncope episodes a new leadless cardiac pacemaker was implanted. This time there were no complications and the patient could be dismissed.
Keywords:
Infective endocarditis
Leadless pacemaker dislocation
Micra Pacing System extraction
Pacemaker pocket infection
Third-degree atrioventricular block
Počet implantací všech typů kardiostimulátorů se neustále zvyšuje, celosvětově je nyní implantováno kolem 700 000 kardiostimulátorů ročně.1 Tradiční transvenózní kardiostimulace představuje několik periprocedurálních a postprocedurálních rizik. Incidence periprocedurálních komplikací je kolem 9–10 %, patří mezi ně například vznik hematomu kapsy stimulátoru, pneumothorax, hemothorax, perforace volné stěny pravé komory se srdeční tamponádou či dislokace elektrody.2,3 V dlouhodobém časovém horizontu se mohou objevit komplikace v oblasti kapsy kardiostimulátoru, trombóza venózního systému s obstrukcí toku ve vena cava superior, vznik významné trikuspidální regurgitace, fraktura elektrody či infekční endokarditida.4 Riziko vzniku infekčních komplikací spojených s kardiostimulátorem či s revizí dosahuje přibližně 2,2 % ze všech výkonů od 0–64 měsíců (v průměru 14 měsíců od implantace), 24 % z nich nastane v období více než dva roky od implantace.5 Všechny tyto komplikace významně zvyšují morbiditu a představují jednak zvýšené náklady na léčbu a jednak další rizika v případě nutnosti kompletní explantace kardiostimulačního systému.3
Leadless kardiostimulace se všem těmto možným komplikacím do jisté míry vyhýbá, její nespornou výhodou je bezpečnost samotné implantace s minimem rizik. Rozvoj této metody byl umožněn až v posledních letech, kdy nám technologie umožnily miniaturizaci celého systému a dostatečnou životnost zdroje. Vhodnými kandidáty pro tuto metodu jsou nemocní s problematickou anatomií podklíčkového venózního systému, s komplikacemi v oblasti kapsy kardiostimulátoru či s prodělanou infekční endokarditidou na stimulační elektrodě. Explantace celého systému je technicky možná a bezpečná. Vyjmutí leadless stimulátoru indikujeme při vzestupu stimulačního prahu, dislokaci systému či při nutnosti upgradu na dvoudutinovou stimulaci nebo zavedení defibrilátoru. V současné době jsou dostupné dva komerční systémy, systém Micra (Medtronic, Minneapolis, MN, USA) a systém Nanostim (St. Jude Medical, St. Paul, MN, USA).
Při implantaci leadless kardiostimulátoru se nejčastěji můžeme setkat s komplikacemi v místě vstupu do femorální žíly. K velmi vzácným poimplantačním komplikacím patří perforace stěny pravé komory se srdeční tamponádou, mikro- či makrodislokace stimulátoru a riziko infekční endokarditidy.
Čtyřiatřicetiletý muž, s historií užívání intravenózních návykových látek, nakažený virovou hepatitidou typu C, byl přijat pro těžké srdeční selhání a trvající septický stav. Echokardiograficky byla zjištěna infekční endokarditida na aortální a trikuspidální chlopni. Hemokultury byly pozitivní na Klebsiella pneumoniae, byla zahájena intenzivní antibiotická terapie. Pro trvající septický stav si léčba endokarditidy vyžádala neodkladné kardiochirurgické řešení. Při komplexním výkonu byla implantována biologická protéza do aortální pozice a byla provedena plastika trikuspidální chlopně. Pro vzniklý absces bylo nutné provést i rekonstrukci aortálního bulbu a mezikomorového septa. Bezprostřední pooperační vývoj byl komplikovaný pneumonií s respiračním selháním, odpojení od venovenózní extrakorporální membránové oxygenace (ECMO) bylo možné šestý pooperační den. Od operace trvala atrioventrikulární blokáda III. stupně (AVB III. st.). Po poklesu zánětlivých markerů byla provedena primoimplantace trvalého transvenózního kardiostimulátoru. Po jednom měsíci však došlo k defektu kapsy kardiostimulátoru, kdy bylo nutné explantovat celý systém. Pacient byl převeden na dočasnou kardiostimulaci a bylo zahájeno podávání antibiotik. Po prolongované antibiotické terapii a kompletním dohojení kapsy původního kardiostimulátoru bylo přistoupeno k implantaci nového transvenózního kardiostimulátoru z kontralaterální strany. I zde však došlo k rozvoji zánětu v kapse kardiostimulátoru, celý systém bylo nutné opět kompletně explantovat. Jelikož se jednalo o pacienta, který měl i nadále trvající AVB III. st., byl symptomatický opakovanými synkopami a měl již dvakrát explantovaný kardiostimulátor, jako vhodná alternativa byla zvolena leadless kardiostimulace. V této fázi byl odeslán na naše pracoviště.
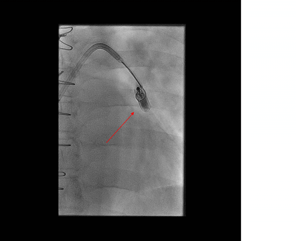
Před samotnou implantací byl pacient bez manifestního infekčního onemocnění, s nízkými markery zánětu. V souladu s protokolem implantace leadless kardiostimulátoru byl systém (Micra) po standardní přípravě femorální žíly zaveden do oblasti baze pravé komory. Stimulační práh po třetím testu stability byl 0,9 V při 0,40 ms, což bylo shledáno jako dostatečné a systém byl uvolněn. Třetí den od implantace byla telemetricky patrná neefektivní stimulace, při interogaci přístroje byl zjištěn vzestup stimulačního prahu na 3,6 V při 0,40 ms. Provedený rtg snímek hrudníku neprokázal dislokaci stimulátoru. Z důvodu trvající dependence pacienta na stimulaci byla z bezpečnostních důvodů zavedena dočasná transvenózní kardiostimulace. S cílem snížení stimulačního prahu bylo zahájeno podávání kortikoidů, bohužel však bez efektu. Sedmý den od výkonu byla již na rtg patrná dislokace stimulátoru do levé větve pulmonální arterie (obr. 1). Stimulátor byl prozatím ponechán in situ.
Obr. 1 – Skiagram hrudníku s dislokovaným leadless kardiostimulátorem (červená šipka)Jelikož byl pacient i nadále dependentní na kardiostimulaci, bylo rozhodnuto o zavedení epikardiálního stimulačního systému. Po provedení anterolaterální minithorakotomie byl systém implantován do oblasti horního epigastria, pod levý přímý břišní sval. Výkon samotný proběhl nekomplikovaně, ale několik dní po implantaci došlo k hnisavé sekreci z rány. Kultivačně byl prokázán Staphylococcus aureus. Opět byla nutná extrakce stimulačního systému, k dohojení rány bylo nutné použít uzavřený podtlakový drenážní systém (V.A.C.).
Dalším krokem byla explantace leadless systému. Po punkci pravé femoralní žíly byl zaveden řiditelný sheath (Agilis, St. Jude Medical, St. Paul, MN, USA), který nám umožnil manipulaci v pravé komoře a ve výtokovém traktu pravé komory. K samotné explantaci byla použita jednooká zachycovací klička („single-loop gooseneck snare“, COOK Medical, Bloomington, IN, USA), která byla pod skiaskopickou kontrolou navigována do větve pulmonální arterie, kde byl lokalizován uvolněný kardiostimulátor. Systém byl zachycen a stažen (obr. 2, 3). Samotné vyjmutí kardiostimulátoru bylo provedeno po předchozí cévně-chirurgické přípravě s venotomií femorální žíly.
Pacient byl následně oběhově stabilní, s náhradním junkčním rytmem s frekvencí 42/min, což nám umožnilo prolongovanou antibiotickou terapii bez nutnosti zavedení dočasné kardiostimulace.
Během hospitalizace však došlo opět k epizodě synkopy, nutnost zajištění trvalé kardiostimulace byla i nadále zřejmá. Protože se jednalo se o komplikovaného pacienta, po kardiochirurgické intervenci, po zavedení ECMO a po explantaci leadless kardiostimulátoru, venózní přístup v tříslech byl velmi limitovaný.
Po poklesu zánětlivých markerů a vyloučení fokální infekce bylo přistoupeno k implantaci dalšího leadless kardiostimulátoru suprapubickým přístupem z levého třísla. Po mnoha pokusech se nám nedařilo nalézt místo s optimálními stimulačními parametry. Nakonec byl stimulátor umístěn asi 2 cm od hrotu pravé komory, kde byly přijatelné stimulační parametry (stimulační práh 2,9 V při 0,40 ms) a pozice stimulátoru byla stabilní. Následující den byly změřeny tyto hodnoty: stimulační práh 2,25 V, amplituda vlny R 8,4 V, impedance 540 ohmů. Tyto parametry zůstaly stabilní a jsou monitorovány vzdáleným přístupem. Pacient je nadále v dobrém klinickém stavu, bez dalších epizod synkopy.
Leadless kardiostimulátory představují řadu nesporných výhod oproti konvenční transvenózní kardiostimulaci. Použitím těchto přístrojů předejdeme problémům spojeným s elektrodami nebo s kapsou kardiostimulátoru. Implantace leadless systému však také není bez rizika, může dojít ke komplikacím v místě přístupu do femorální žíly, k srdeční perforaci6 nebo k dislokaci přístroje.7 V prezentovaném případu byla leadless kardiostimulace jedinou možností, jak pacienta zajistit.
Pro dlouhodobou a správnou funkci kardiostimulačního přístroje je naší snahou, aby hodnota stimulačního prahu byla co nejnižší. Zvýšený stimulační práh krátce po implantaci se může v čase snižovat. Z výsledků studie Micra Transcatheter Pacing System Global Clinical Trial vyplývá, že se u pacientů s vysokým prahem (> 1,0 V) a velmi vysokým prahem (> 1,5 V) práh signifikantně snížil již za jeden měsíc od implantace. Pokud je však stimulační práh vyšší než 2 V, jen 18,2 % mělo stimulační práh nižší než 1 V v následujících šesti měsících a 45,5 % mělo stimulační práh více než 2 V.8 U našeho pacienta dosahoval po implantaci prvního leadless kardiostimulátoru po testu stability stimulační práh 0,9 V. Po třech dnech od implantace došlo k vzestupu prahu na 3,6 V, beze změny pozice při skiaskopické kontrole. Toto zhoršení stimulačních parametrů není příliš časté a domníváme se, že bylo dáno mikrodislokací přístroje. Makrodislokace stimulátoru byla patrná až za několik následujících dnů. Ve studii Reynoldse a spol. (Micra Transcatheter Pacing Study, n = 745) nebyla pozorována dislokace přístroje, úspěšnost implantace byla velmi vysoká (99,2 %) s velmi nízkou četností (4 %) závažných komplikací.9 Ze světového registru (Post-Approval Micra Registry) byla makrodislokace přístroje dokumentována pouze v jednom případě ze 795 implantací,10 prezentujeme tedy extrémně vzácnou komplikaci. Makrodislokace elektrody u konvenčních transvenózních kardiostimulačních systémů byla hlášena u 3,3 % implantovaných systémů do dvou měsíců od implantace,2 leadless kardiostimulátory tedy nejsou k dislokaci náchylnější než standardní transvenózní systémy.
V prvním případě implantace kardiostimulátoru Micra bylo postupováno přesně dle doporučení a stimulační práh byl po třech provedených testech stability přijatelný. Důvod časné dislokace přístroje zůstává nejasný. Lze spekulovat, zdali u pacienta s anamnézou prodělané infekční endokarditidy nemohlo dojít k remodelaci trabekul pravé komory vedoucí ke snížené stabilitě pozice kardiostimulátoru. Pokud již k dislokaci přístroje dojde, je důležité mít k dispozici systém k jeho zachycení a vyjmutí. Je možné využít několik typů zachycovacích kliček, dokonce i několik týdnů od samotné implantace.11 Systém Nanostim má vlastní dedikovaný řiditelný katétr,7 systém Micra vlastní systém nenabízí. V prezentovaném případě dokumentujeme možné použití konvenční jednooké zachycovací kličky.11
V případě druhé implantace nebyly stimulační parametry zcela optimální, po opakovaných pokusech o nalezení vhodného místa jsme se museli spokojit se stimulačním prahem 2,9 V, což je jistě poměrně vysoká hodnota. Jelikož byly zcela vyčerpány další možnosti, jak pacienta zajistit kardiostimulací, s vědomím suboptimálních hodnot stimulačního prahu jsme se rozhodli o ponechání systému v této pozici. Následný den došlo alespoň k mírnému snížení prahu. Při další kontrole byla poloha kardiostimulátoru stabilní a pacient byl klinicky bez obtíží.
Leadless kardiostimulátory představují oproti konvenční transvenózní kardiostimulaci alternativu, která není spojena s častými komplikacemi. Riziko dislokace leadless kardiostimulátoru je velmi nízké, nicméně jak ukázal náš případ, není zanedbatelné. V případě dislokace nebo při nutnosti explantace z jiné příčiny je možné použití konvenčního řiditelného sheathu v kombinaci s explantační kličkou. V prezentovaném případě byla leadless kardiostimulace jedinou možností trvalé kardiostimulace vedoucí k záchraně života pacienta.
Prohlášení autorů o možném střetu zájmů
Autoři prohlašují, že nemají konflikt zájmů ve vztahu k článku.
Odkaz na článek online
http://www.cksonline.cz/coretvasa-case-reports/clanky.php?p=detail&id=67&pid=976
Literatura
1. Mond HG, Proclemer A. The 11th World Survey of Cardiac Pacing and Implantable Cardioverter‐Defibrillators: Calendar Year 2009 – A World Society of Arrhythmia’s Project, Pacing Clin Electrophysiol 2011;34:1013–1027.
2. Udo EO, Zuithoff NP, van Hemel NM, et al. Incidence and predictors of short- and long-term complications in pacemaker therapy: the FOLLOWPACE study. Heart Rhythm 2012;9:728–735.
3. Kirkfeldt RE, Johansen JB, Nohr EA, et al., Complications after cardiac implantable electronic device implantations: an analysis of a complete, nationwide cohort in Denmark. Eur Heart J 2014;35:1186–1194.
4. Harcombe AA, Newell SA, Ludman PF, et al., Late complications following permanent pacemaker implantation or elective unit replacement. Heart 1998;80:240–244.
5. Lekkerkerker JC, van Nieuwkoop C, Trines SA, et al., Risk factors and time delay associated with cardiac device infections: Leiden device registry. Heart 2009;95:715–720.
6. Vamos M, Erath JW, Benz AP, et al., Incidence of cardiac perforation with conventional and with leadless pacemaker systems: A systematic review and metanalysis. J Cardiovasc Electrophysiol 2017;28:336–346.
7. Tjong FV, Reddy VY. Permanent Leadless Cardiac Pacemaker Therapy. Circulation 2017;15:1458–1470.
8. Piccini JP, Stromberg K, Jackson KP, et al. Long-term outcomes in leadless Micra transcatheter pacemakers with elevated thresholds at implantation: Results from the Micra Transcatheter Pacing System Global Clinical Trial. Heart Rhythm 2017;14:685–691.
9. Reynolds D, Duray GZ, Omar R, et al. Micra transcatheter Pacing Study Group, A leadless intracardiac transcatheter pacing system. N Engl J Med 2016;6:533–541.
10. Roberts PR, Clementi N, Al Samadi F, et al. A leadless pacemaker in the real-world setting: The Micra Transcatheter Pacing System Post-Approval Registry. Heart Rhythm 2017;14:1375–1379.
11. Karim S, Abdelmessih M, Marieb M, et al., Extraction of a Micra Transcatheter Pacing System: First-in-human experience. HeartRhythm Case Rep 2015;2:60–62.
V roce 2012 absolvoval obor všeobecné lékařství na Lékařské fakultě Masarykovy univerzity v Brně.
Po promoci nastoupil na kardiologické oddělení Nemocnice Jihlava, kde působil jako sekundární lékař. Mezi lety 2015 až 2017 pracoval jako lékař na I. interní kardioangiologické klinice Fakultní nemocnice Hradec Králové. V současné době působí na I. interní klinice – kardiologické Fakultní nemocnice Olomouc, kde se připravuje ke kardiologické atestaci.
Mezi jeho odborné zájmy patří arytmologie a intervenční kardiologie.