
J. Šírek, A. Krüger, D. Vondráková, M. Janotka, J. Naar, F. Málek, P. Neužil, P. Ošťádal
Souhrn
Systémová mastocytóza je vzácné onemocnění charakterizované proliferací a akumulací žírných buněk v různých tkáních s nepřiměřeným uvolňováním jejich mediátorů. Jako nejzávažnější komplikace se zpravidla popisuje anafylaktický šok. Podezření na náhlou smrt v souvislosti se systémovou mastocytózou je zmiňováno zcela raritně.
Kasuistika popisuje případ 53leté pacientky se známou dilatační kardiomyopatií a srdeční zástavou mimo nemocnici. Anamnéza užití první tablety antibiotika těsně před srdeční zástavou spolu se zvýšením sérové koncentrace tryptázy poukázaly na anafylaxi jako příčinu srdeční zástavy. Specifické kožní projevy spolu s přetrvávajícím zvýšením koncentrace tryptázy při opakovaných odběrech potom přispěly spolu s molekulárně-biologickými testy k diagnóze systémové mastocytózy a zahájení příslušné léčby.
Degranulace žírných buněk při systémové mastocytóze může vyvolat oběhovou zástavu, a proto je třeba na toto onemocnění myslet i při diferenciální diagnostice náhlé smrti.
Klíčová slova:
Dilatační kardiomyopatie
Náhlá smrt
Systémová mastocytóza
Tryptáza
Abstract
Systemic mastocytosis is a rare disease characterized by proliferation and accumulation of mast cells in various human tissues with an excessive release of their mediators. Anaphylactic shock is usually described as the most severe complication of systemic mastocytosis. Suspicion of sudden death in relation to systemic mastocytosis is mentioned very rarely.
The case study refers to a 53-year-old female patient with known dilated cardiomyopathy and out-of-hospital cardiac arrest. The history of administration the first antibiotic dose just prior to cardiac arrest along with the elevation of serum tryptase revealed anaphylaxis as the cause of the cardiac arrest. Specific skin manifestations together with persistent elevation of tryptase levels in repeated blood samples contributed, together with molecular biology testing, to the diagnosis of systemic mastocytosis and to the initiation of an appropriate treatment.
The mast cell degranulation in systemic mastocytosis may cause cardiac arrest and it is therefore necessary to keep this disorder in mind even in differential diagnosis of sudden death.
Keywords:
Dilated cardiomyopathy
Sudden death
Systemic mastocytosis
Tryptase
Systémová mastocytóza (SM) je vzácné, nevyléčitelné onemocnění s výskytem 1,0–1,3 případu na 10 000 osob,1 charakterizované proliferací a akumulací žírných buněk v různých tkáních, s nepřiměřeným uvolňováním jejich mediátorů (např. histaminu, tryptázy, chymázy, interleukinu 8, tumor nekrotizujícího faktoru, interferonů). Jedná se o klonální poruchu, danou somatickou aktivační bodovou mutací v kodonu 816 genu pro c-KIT receptor.2,3 Systémová mastocytóza je podskupinou mastocytóz, které se dále dělí dle lokalizace hromadících se mastocytů (SM, kožní mastocytóza, mastocytární leukemie, mastocytární sarkom aj.). Diagnostikuje se pomocí systému malých a velkých kritérií (tabulka 1) a dle molekulárně-genetického vyšetření. Symptomy onemocnění jsou dány jednak tkáňovou akumulací patologických mastocytů, jednak uvolňováním mediátorů z těchto buněk. Jako nejzávažnější komplikace se zpravidla popisuje anafylaktický šok; podezření na náhlou smrt v souvislosti se SM je zmiňováno zcela raritně.4,5
Tabulka 1 – Diagnostika SM – musí být přítomno velké kritérium a jedno malé nebo tři malá kritéria11
| Velké kritérium: |
| - nález více než tří denzních infiltrátů mastocytů v biopsii kostní dřeně |
| Malá kritéria: |
| - nález více než 25 % mastocytů v kostní dřeni |
| - průkaz mutace c-KIT (D816V) |
| - exprese znaků CD2 a/nebo CD25 na mastocytech |
| - zvýšená koncentrace tryptázy v séru |
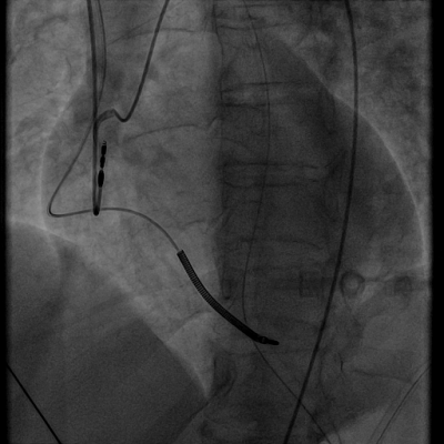
Třiapadesátiletá pacientka sledovaná pro dilatační kardiomyopatii, s diagnózou infarktu myokardu bez elevací úseku ST s normálním koronarogramem v roce 2016, s již implantovaným kardioverterem-defibrilátorem (ICD) v rámci primární prevence náhlé srdeční smrti byla přijata v lednu 2017 na koronární jednotku pro mimonemocniční oběhovou zástavu, které předcházela bolest na hrudi a dušnost. Iniciálním rytmem byla bezpulsová elektrická aktivita (PEA). Pacientce byla poskytnuta standardní resuscitační a poresuscitační péče včetně řízené hypotermie (33 °C, 24hodinový protokol) a terapie přetrvávajícího těžkého šoku. V paměti ICD nebyl záznam maligní arytmie. Akutní koronarografie prokázala normální nález na věnčitých tepnách s výjimkou suspekce na lehký spasmus na pravé koronární tepně (video 1).
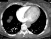
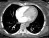
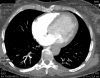
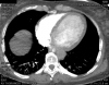
Video 1 - Akutní koronarografie prokázala normální nález na věnčitých tepnách s výjimkou suspekce na lehký spasmus na pravé koronární tepně.Echokardiograficky byla zjištěna těžká dysfunkce dilatované levé komory s nezvětšenou pravou komorou (video 2).
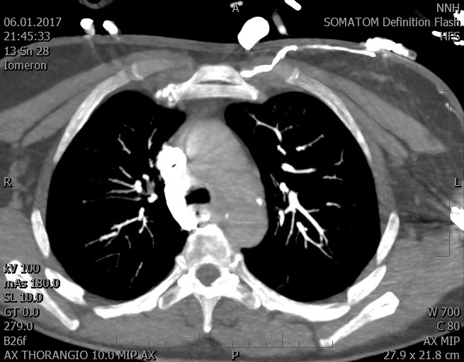
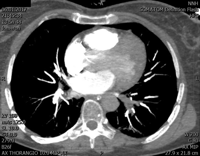
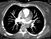
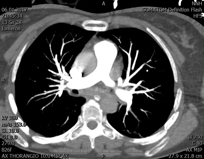
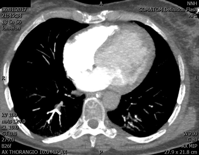
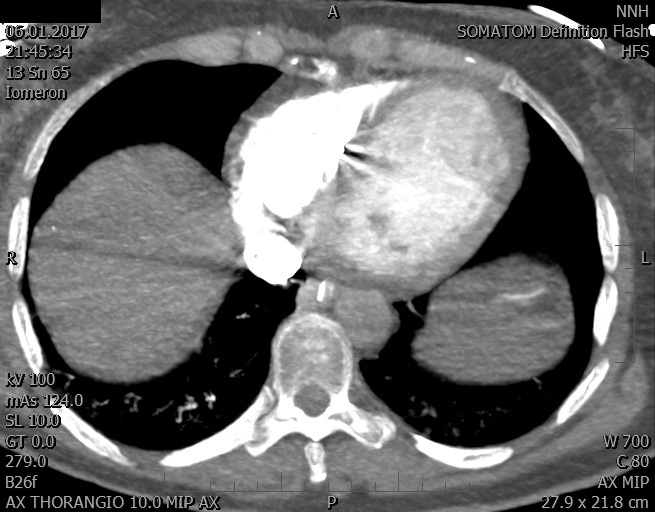
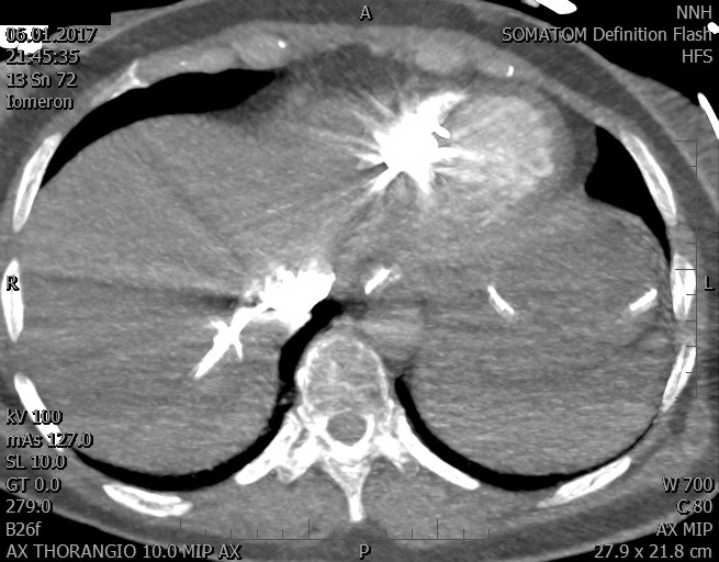
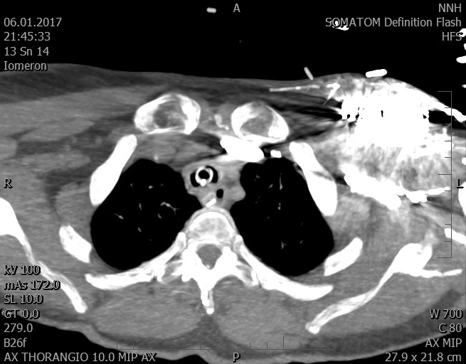
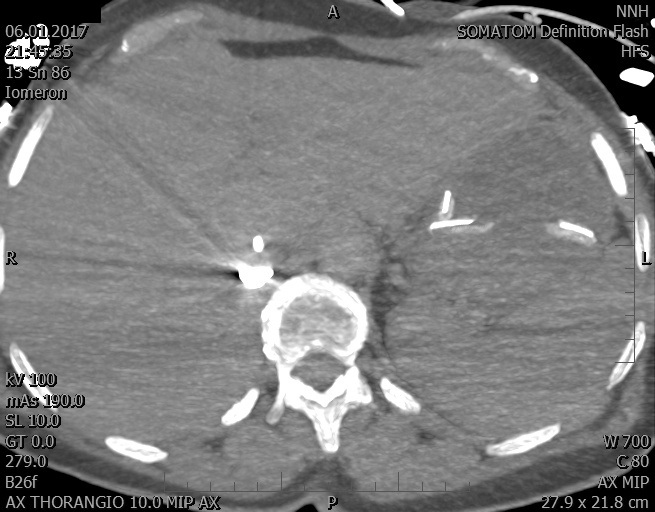
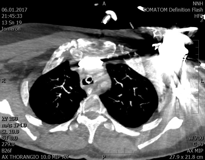
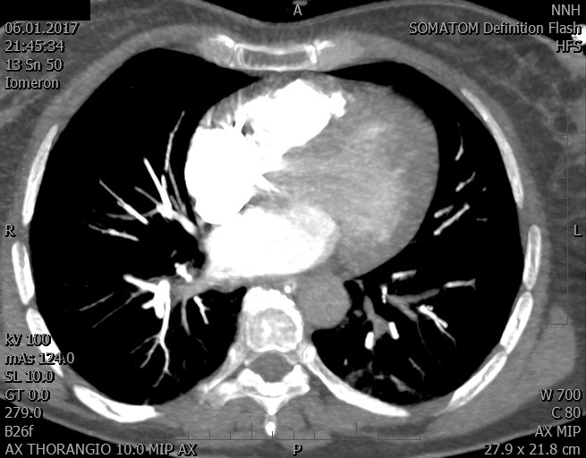
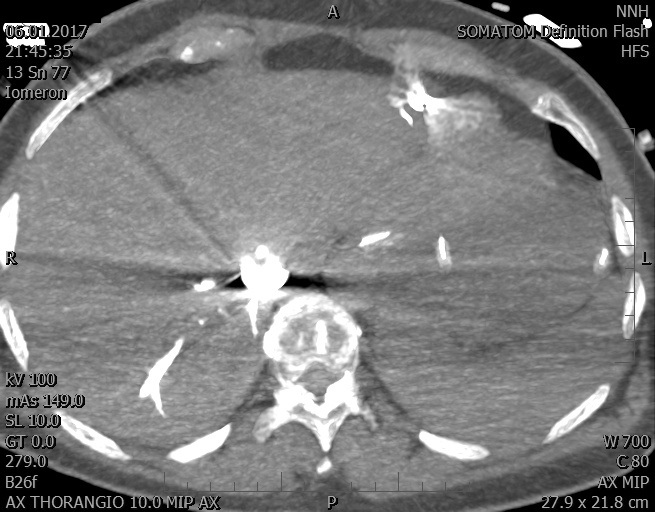
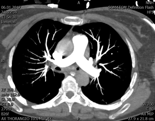
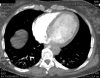
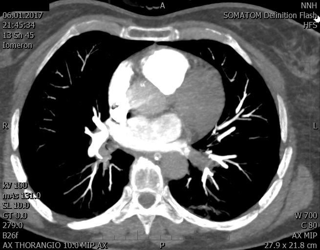
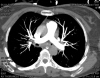
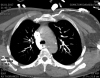
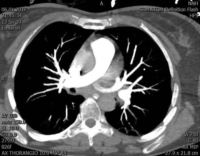
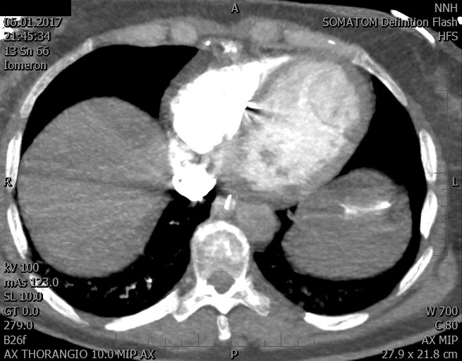
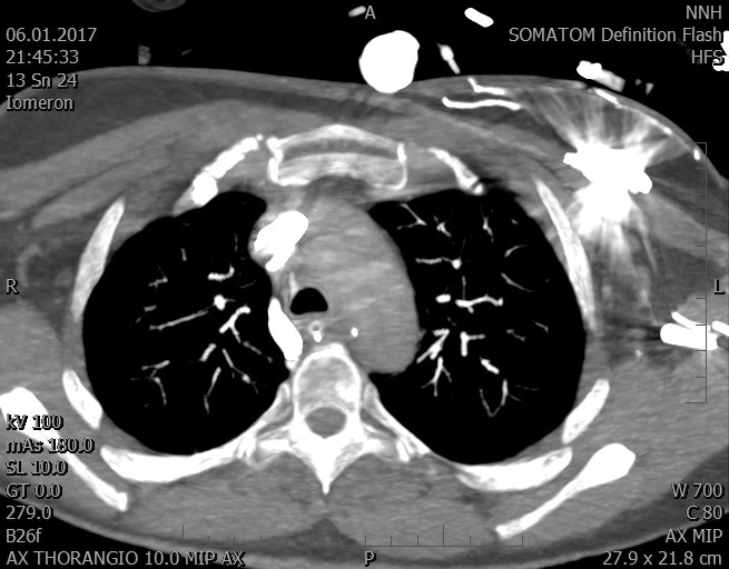
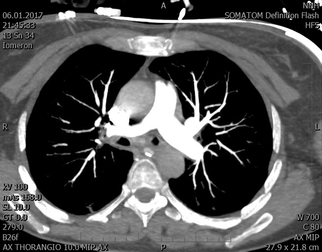
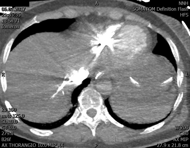
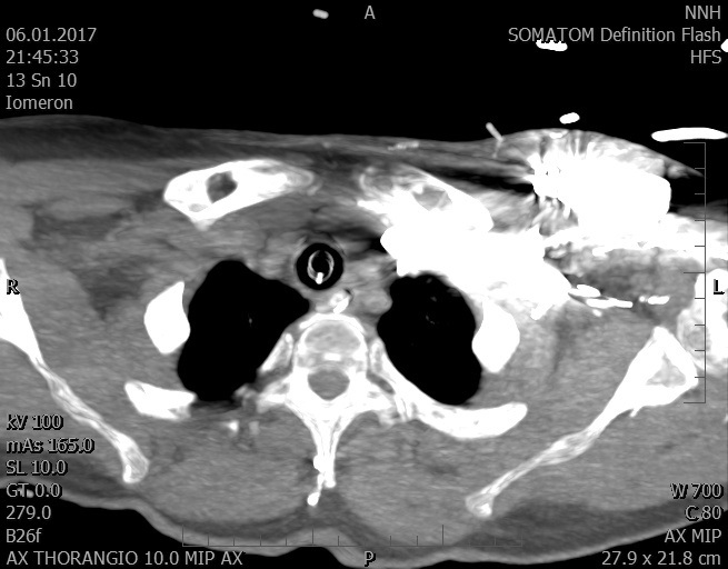
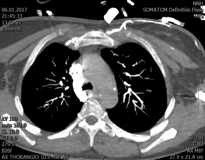
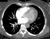
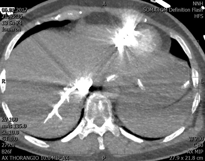
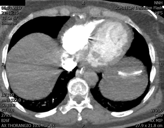
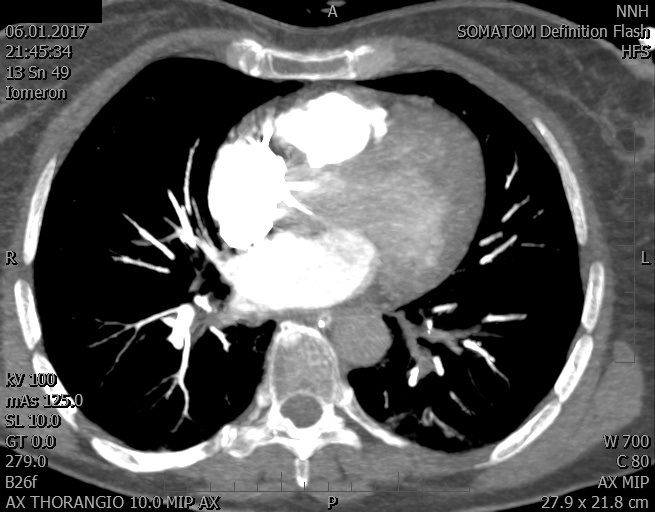
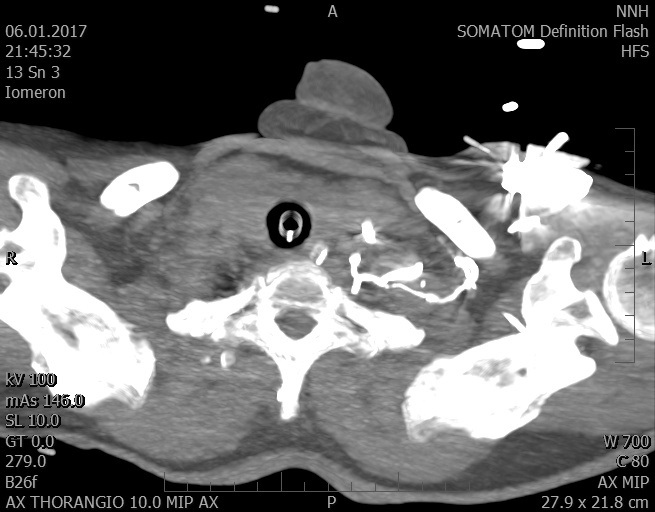
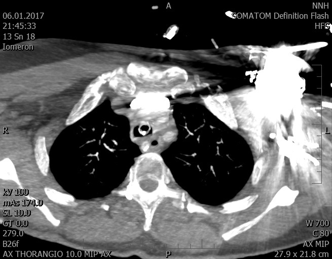
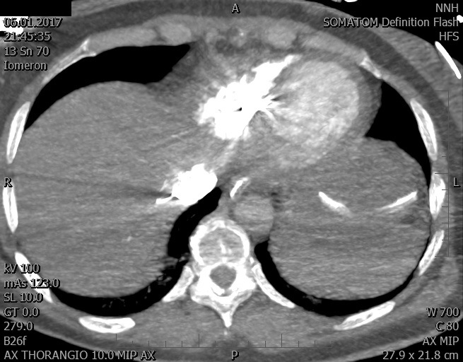
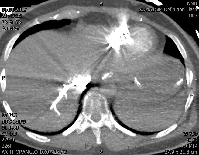
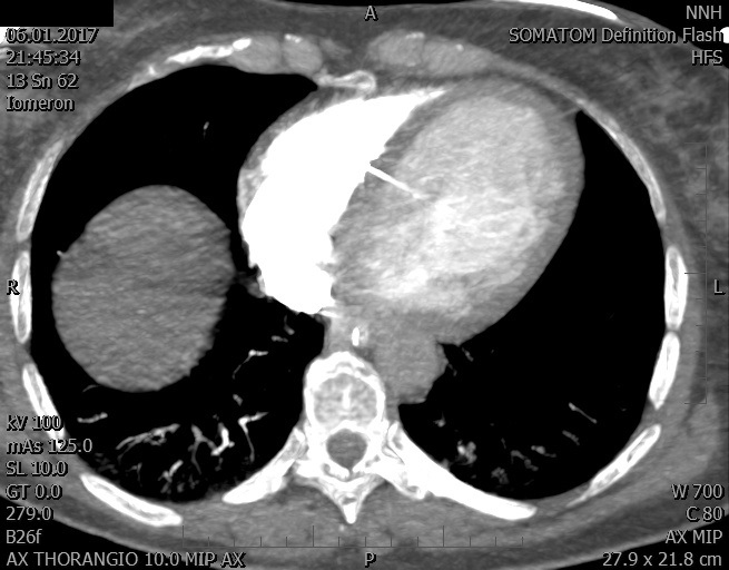
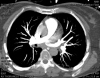
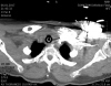
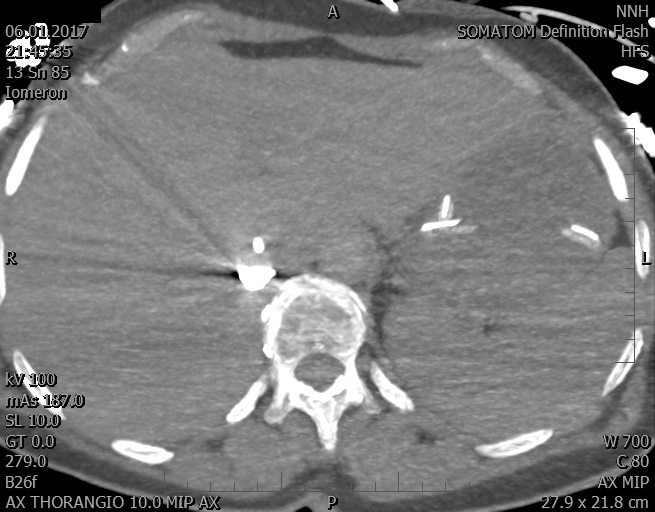
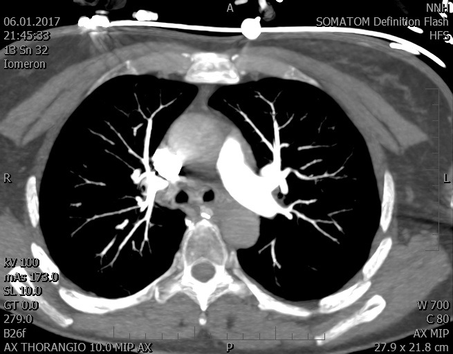
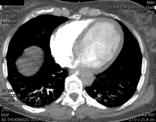
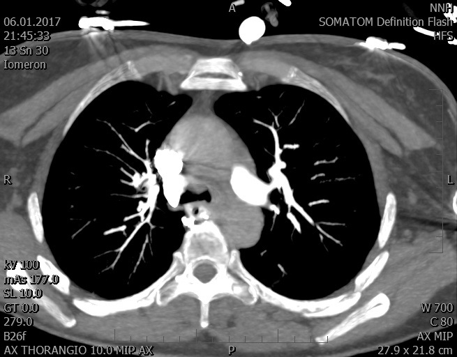
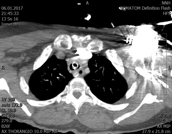
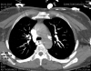
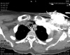
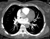
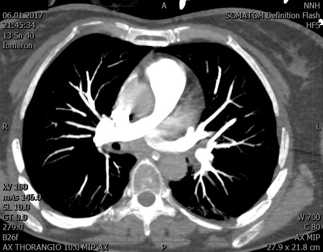
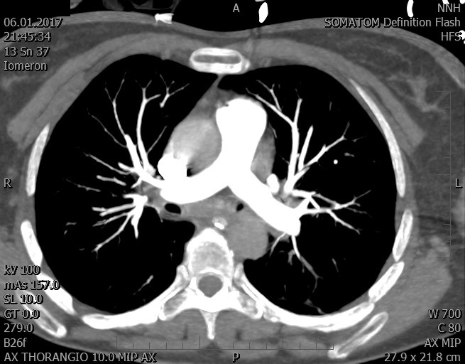
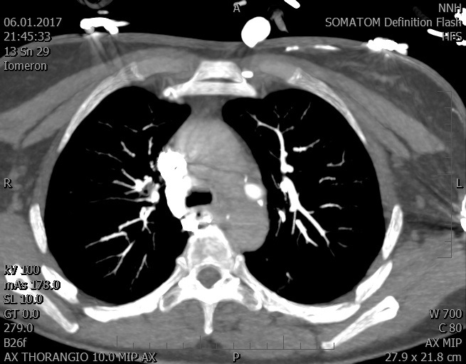
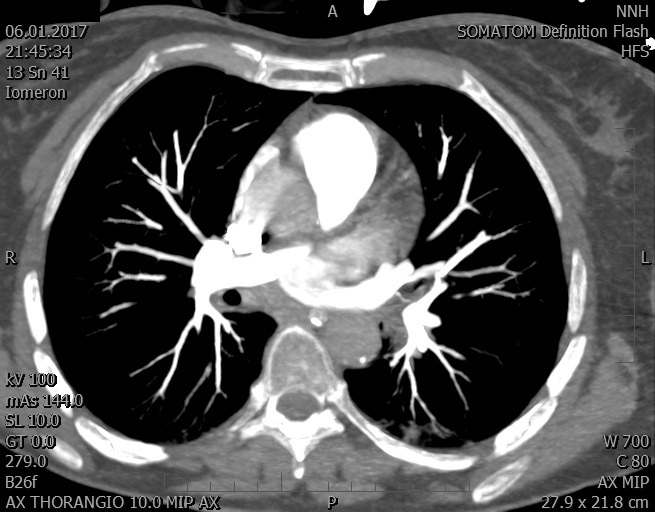
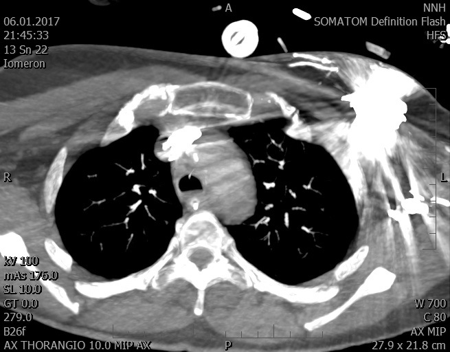
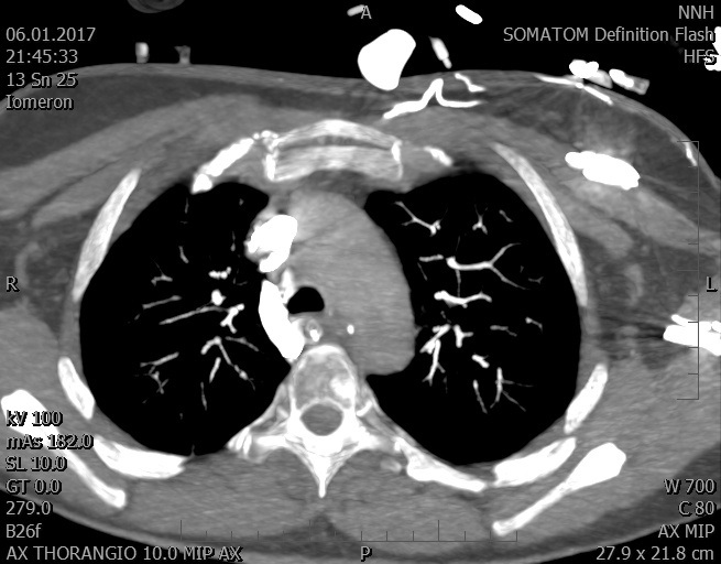
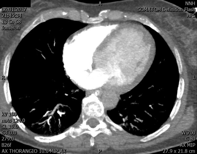
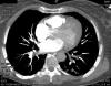
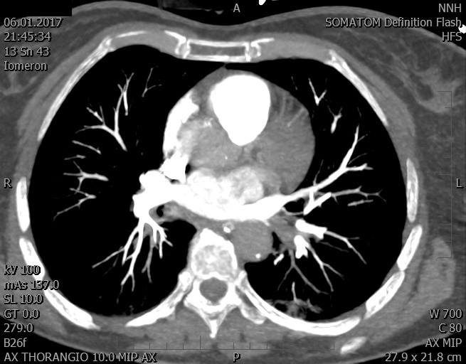
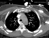
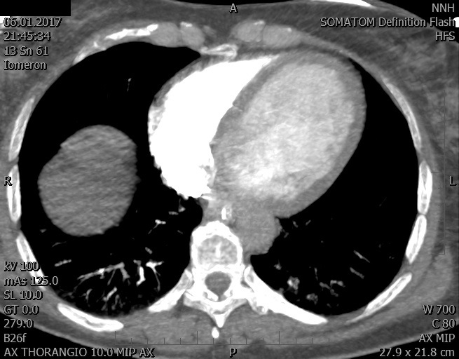
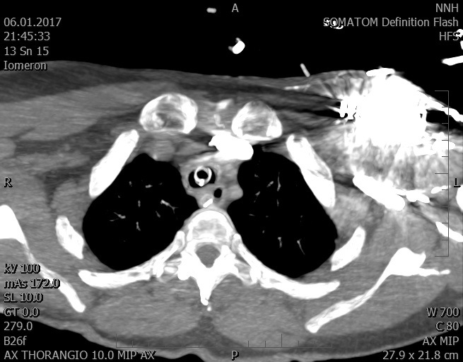
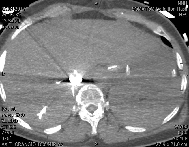
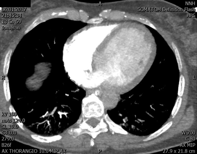
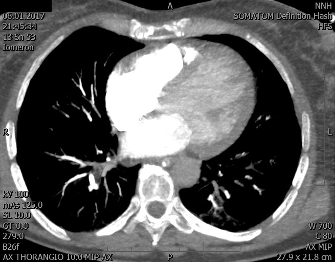
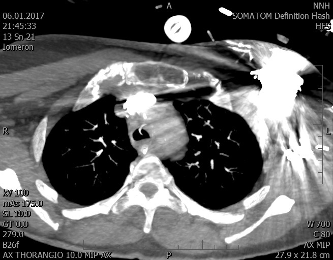
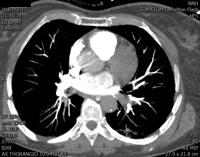
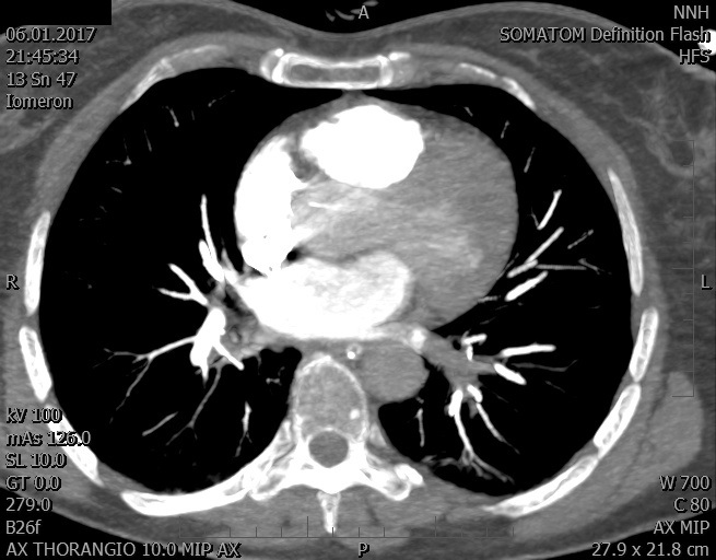
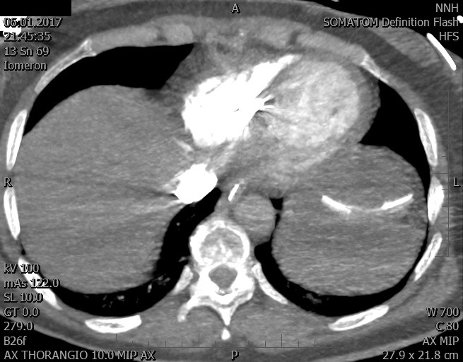
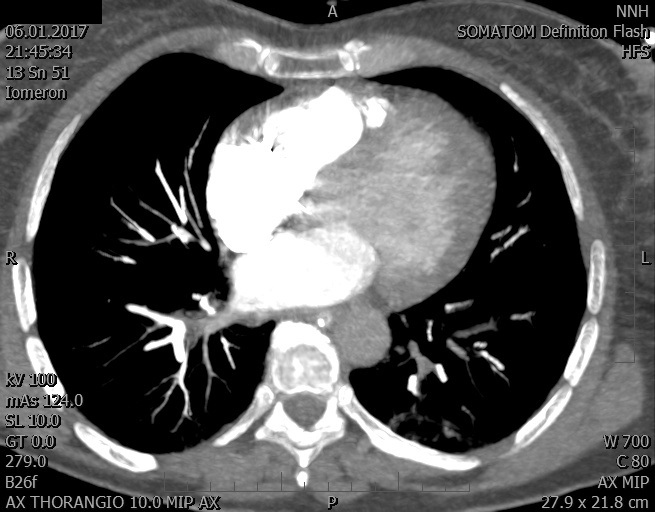
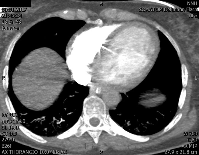
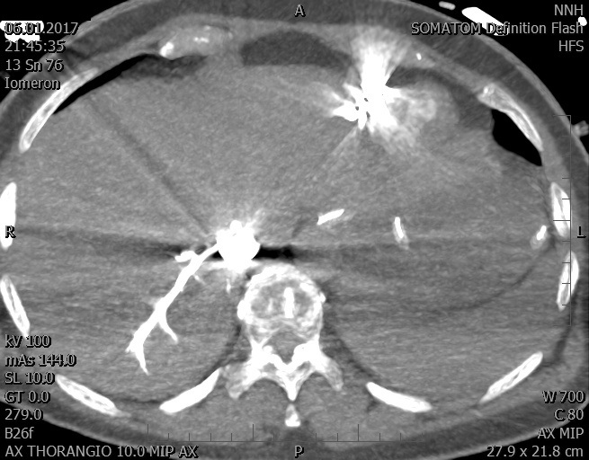
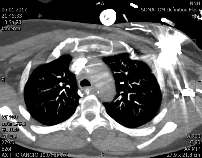
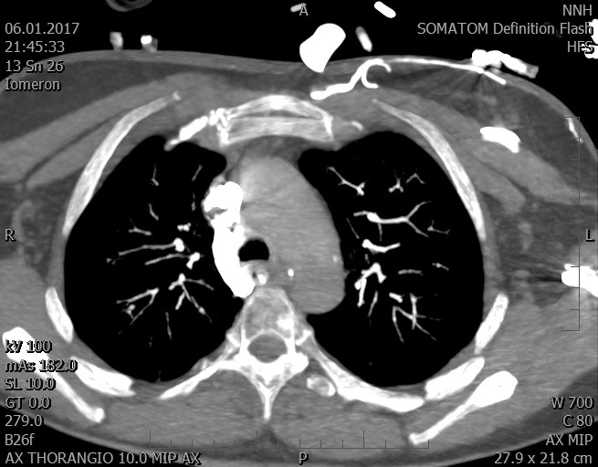
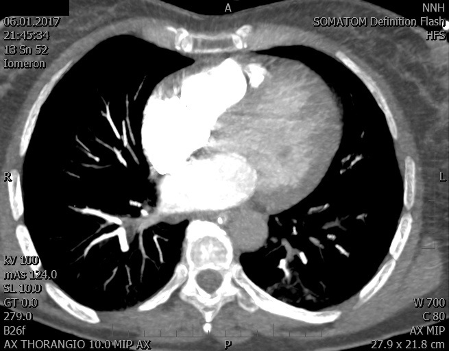
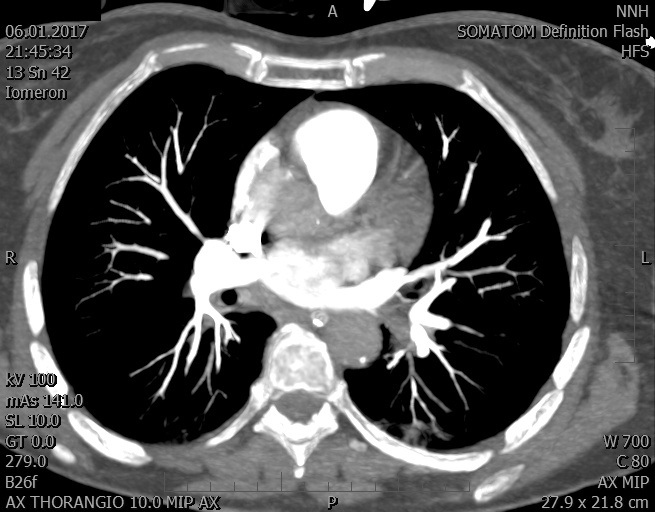
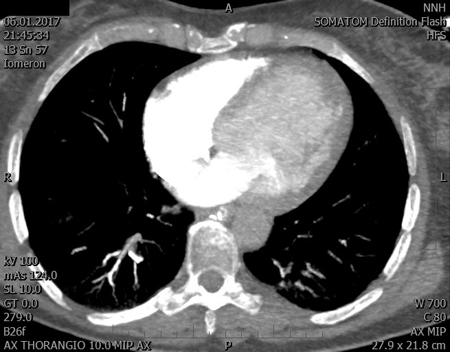
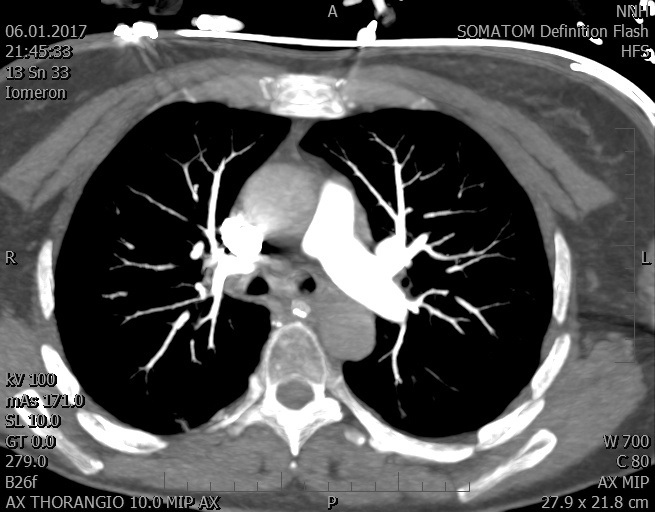
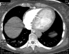
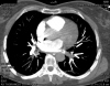
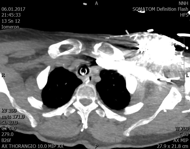
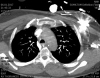
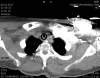
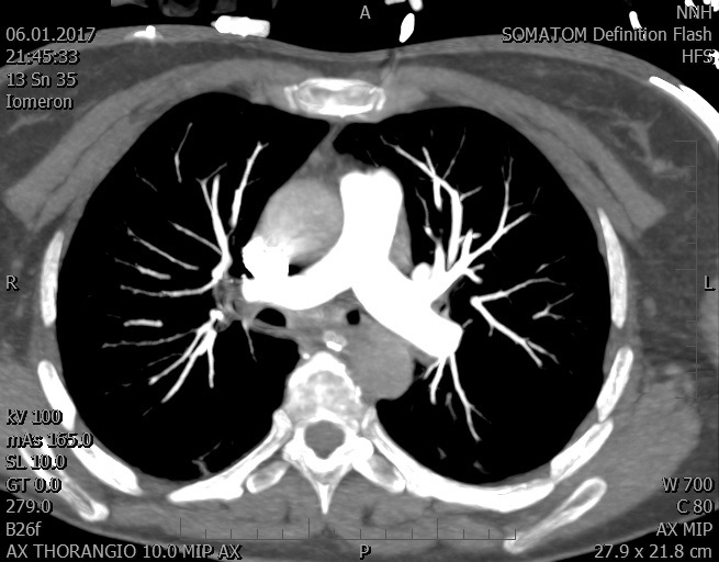
Video 2 - Echokardiograficky byla zjištěna těžká dysfunkce dilatační levé komory s nezvětšenou pravou komorou.Pro nejasnou příčinu zástavy jsme provedli i vyšetření výpočetní tomografií (CT), které vyloučilo plicní embolizaci (série 1 - soubory na konci článku). V den přijetí při přetrvávající oběhové nestabilitě byla nemocná opakovaně defibrilována pro fibrilaci komor se stabilizací rytmu po podání amiodaronu a mesocainu. Dle hemodynamických měření se jednalo o těžký kombinovaný šok. Vstupní laboratorní vyšetření bylo bez větších pozoruhodností. Posléze jsme doplnili anamnézu od příbuzných a zjistili, že pacientka užila do dvou hodin před srdeční zástavou první tabletu amoxicilinu na lehký respirační infekt. Při nevýtěžnosti vstupních vyšetření a nových anamnestických informacích jsme doplnili 14 hodin po kolapsu vyšetření koncentrace tryptázy v séru, která byla extrémně zvýšena (tabulka 2), což nás vedlo k podezření na anafylaxi.
Tabulka 2 – Koncentrace tryptázy v séru pacientky (norma do 20 µg/l)13
| 14 h | 127 µg/l |
| Den 5 | 44,9 µg/l |
| Den 9 | 58 µg/l |
Na kůži byl nápadný, v čase proměnlivý hnědočervený makulopapulózní exantém s převahou na předních a laterálních partiích stehen a na podbřišku, pro který byla nemocná vyšetřována již v minulosti bez jasného výsledku. Koncentrace tryptázy v séru v kontrolních odběrech byla překvapivě zvýšena nadále i v odstupu několika dnů (tabulka 2), ačkoliv při anafylaxi jsou hodnoty zvýšeny pouze v období do čtyř až šesti hodin. Vzhledem k suspektnímu dermatologickému nálezu, který imponoval jako urticaria pigmentosa, a ke zvýšení bazální tryptázy padlo podezření na systémovou mastocytózu. Zahájili jsme proto příslušnou léčbu antihistaminiky (levocetirizin). Stav se postupně zlepšoval a šestý den hospitalizace jsme pacientku extubovali, nedošlo k poškození mozku (cerebral performance category scale 1 [CPC-1]) a při současné terapii milrinonem se zlepšila i ejekční frakce levé komory z 25 % na 55 % (video 2–4); dobrá funkce levé komory přetrvávala i po vysazení inotropik.
Video 2 - Echokardiograficky byla zjištěna těžká dysfunkce dilatační levé komory s nezvětšenou pravou komorou. Video 3 Video 4Molekulárně-genetické a imunohistologické vyšetření kostní dřeně potvrdilo systémovou mastocytózu, typ smouldering, c-KIT pozitivní.
Sedmnáctý den byla pacientka propuštěna v uspokojivém stavu do domácí péče s relativně dobrou funkcí levé komory. V medikaci při dimisi měla kromě standardní terapie srdečního selhání antihistaminikum, inhibitor protonové pumpy a subkutánně aplikovatelný adrenalin v autoinjektoru.
Nemocná nadále zůstává v naší péči, hodnota ejekční frakce levé komory kolísá při opakovaných vyšetřeních v rozmezí 40–55 % a přes veškerou péči přetrvává zvýšená koncentrace tryptázy.
S trendem vznikajících center pro nemocné po srdeční zástavě a s neustále se zlepšující péčí o tyto pacienty rostou též nároky na rychlost a přesnost diferenciální diagnostiky. Ne vždy je příčina zástavy zcela jasná a to platí zvláště pro nemocné s jiným než defibrilovatelným iniciálním rytmem. Stanovení sérové koncentrace tryptázy může poukázat na možnou etiologii zástavy a tím optimalizovat strategii péče o konkrétního nemocného. Dosud však tato metoda není rutinně dostupná, v České republice je aktuálně pouze osm laboratoří pracujících s touto metodou.6 Správný postup při odběru ke stanovení koncentrace tryptázy při podezření na anafylaktickou reakci sestává ze dvou odběrů, první v období 15 min až tři hodiny od události, další odběr za 24 hodin nebo později po odeznění příznaků.6 V případě naší pacientky byl první odběr uskutečněn až 14 hodin po srdeční zástavě, přesto byla zjištěná hodnota stále extrémně zvýšená, ačkoli při běžné anafylaktické reakci koncentrace klesá již do čtyř až šesti hodin;1 to zvýšilo podezření na anafylaxi jako příčinu zástavy, ale o SM jsme zatím neuvažovali. Teprve nález přetrvávajícího zvýšení koncentrace tryptázy spolu s kožními projevy urticaria pigmentosa vzbudil podezření na systémovou mastocytózu7 a vedl k zahájení léčby antihistaminiky. Diagnóza SM byla potom potvrzena molekulárně-genetickým a histopatologickým vyšetřením. Lze předpokládat, že časnější kontrolní odběr ke stanovení koncentrace tryptázy (u naší nemocné až pátý den) by umožnil i dřívější zahájení adekvátní léčby a rychlejší zlepšení stavu.
Nadále je předmětem výzkumu, zda může mít SM vztah k srdečnímu selhávání;8 to by mohlo vysvětlit i dílčí zlepšení kardiální kompenzace pacientky po zahájení podávání antihistaminika. Systémová mastocytóza může stát i v pozadí tzv. Kounisova syndromu9,10 – excesivní vyplavení mastocytárních mediátorů může vyvolat i koronárními spasmy. Nadále však nemůžeme s jistotou určit, zda dilatace a dysfunkce levé komory u naší nemocné v předchorobí byla projevem SM nebo se jedná o koincidenci s dilatační kardiomyopatií. Magnetická rezonance srdce byla provedena již tři měsíce před událostí (před implantací ICD) s nálezem lehké dilatační kardiomyopatie se subendokardiálními lézemi inferolaterálně. Endomyokardiální biopsie nebyla indikována, neboť by pravděpodobně nepředstavovala přínos pro další terapii.
Dosud neexistují jasná doporučení pro terapii, neboť pro jednotlivé postupy nejsou dostatečné důkazy.11 V akutní fázi anafylaxe je vhodná obvyklá terapie šoku. Profylakticky se předpokládá účinnost antimediátorové terapie – blokátory histaminových receptorů, antileukotrieny a kortikoidy.1 Samozřejmostí je vyvarování se spouštěcích vlivů, pokud jsou známy – např. léky (některá antibiotika, nesteroidní antirevmatika, hmyzí jed, ale i různé fyzikální vlivy).6 Je-li k dispozici, doporučuje se specifická imunoterapie při známé noxe, zvažuje se i splenektomie, ve výjimečných případech se užívá cytoredukční terapie.1 V současné době probíhají klinické studie s podáváním cladribinu, midostaurinu, brentuximabu. U některých agresivních forem se začíná přistupovat k alogenní transplantaci kostní dřeně.11 Všichni pacienti se SM by měli být vybaveni autoinjektory s adrenalinem.1
Anafylaktická reakce je vzácnou, ale známou příčinou srdeční zástavy. Vyšetření ke stanovení koncentrace tryptázy je proto třeba zvážit, když příčina zástavy zůstává nejasná a anamnestické údaje tuto možnost připouštějí. Jak prokazuje naše kasuistika, degranulace žírných buněk při systémové mastocytóze může anafylaxi vyvolat, a proto je třeba na toto onemocnění myslet, zůstává-li koncentrace tryptázy zvýšená i v kontrolních odběrech.
Bohužel současná terapie SM a režimová opatření stále mohou pouze zmírnit její projevy či oddálit relapsy onemocnění, takže ani po správné diagnostice nelze pacientům zaručit, že se srdeční zástava nebude opakovat. Implantace ICD sice může vyřešit asystolii, bradykardii či komorovou fibrilaci, ale PEA neovlivní; autoinjektor s adrenalinem tak může být jedinou záchranou při recidivě tohoto stavu. Hledání účinné terapie SM zůstává výzvou současné medicíny.
Prohlášení autorů o možném střetu zájmů
Autoři prohlašují, že nemají střet zájmů.
Odkaz na článek online
http://www.cksonline.cz/coretvasa-case-reports/clanky.php?p=detail&id=66&pid=976
Literatura
1. Kučera P. Mastocytóza a alergie. Postgrad Med 2015;5:45.
2. Nováková L. Systémová mastocytóza. Transfuze Hematol dnes 2009;15:31–38.
3. Hořejší V, Bartůňková J. Základy imunologie, 3. vydání. Praha: Triton, 2005: s. 41–43.
4. Byard R. Sudden death in the Young, 3rd ed. Cambridge: Cambridge University Press, 2010.
5. Nangrahary M, Chieng D, Keren A. Systemic mastocytosis as a rare cause of pulseless electrical activity (PEA) cardiac arrest and recurrent syncope, Heart Lung Circ 2016;25(Suppl. 2):S90–S91.
6. Česká společnost alergologie a klinické imunologie, Stanovení tryptázy – indikace a podmínky odběru materiálu pro vyšetření http://www.csaki.cz/aktualne/stanoveni-tryptazy-indikace-a-podminky-odberu-materialu-pro-vysetreni-649. Zobrazeno: 6. 4. 2018
7. Martinásková K. Mastocytózy – komplexný pohľad na problematiku. Dermatológia pre prax 2011;5:7–12.
8. Kolck UW, Alfter K, Homann J, et al. Cardiac mast cells: implications for heart failure. J Am Coll Cardiol 2007;49:1107.
9. Paratz ED. Systemic mastocytosis, Kounis syndrome and coronary intervention: case report and systematic review. Heart Lung Circ 2017;26:772–778.
10. Kounis N. Kounis syndrome: an update on epidemiology, pathogenesis, diagnosis and therapeutic management. Clin Chem Lab Med 2016;54:1545–1559. ·
11. Valent P. Mastocytosis: 2016 updated WHO classification and novel emerging treatment concepts, Blood 2017;129:1421.
12. Valent P. Diagnosis and treatment of systemic mastocytosis: state of the art, Br J Haematol 2003;122:695–717.
13. Schwartz. Serum tryptase and the laboratory diagnosis of systemic mastocytosis. Hematol Oncol Clin North Am 2000;14:641–657.
V roce 2013 absolvoval obor všeobecné lékařství na 3. lékařské fakultě Univerzity Karlovy.
Po promoci nastoupil na Interní oddělení Oblastní nemocnice Příbram, kde působí jako sekundář na JIP interních oborů (od roku 2015), je členem týmu iktového centra. V současné době se připravuje v Kardiocentru Nemocnice Na Homolce ke kardiologické atestaci.
Od roku 2014 je členem České kardiologické společnosti, podílel se na sběru dat pro CZECH-3 (registr pacientů s akutními koronárními syndromy v České republice).
Mezi jeho odborné zájmy patří intenzivní medicína a akutní stavy v kardiologii.