
R. Štípal jr., M. Poloczek, P. Jeřábek, O. Boček, J. Kaňovský, P. Kala
Souhrn
Chronický kolateralizovaný uzávěr věnčité tepny (chronic total occlusion, CTO) je častým koronarografickým nálezem. U pacientů s významným postižením koronárních tepen lze přítomnost chronického uzávěru pozorovat až u jedné třetiny nemocných. Počty perkutánních intervencí pro tento typ nálezu celosvětově narůstají. Recentně publikovaná klinická data naznačují, že perkutánní rekanalizace chronického uzávěru vede ke zlepšení symptomů, zlepšení systolické funkce levé komory, snížení nutnosti provedení aortokoronárního bypassu a ke zlepšenému přežívání pacientů. V článku popisujeme klinický případ 67letého muže s anamnézou progrese námahové dušnosti, novým záchytem fibrilace síní, echokardiografickým nálezem systolické dysfunkce levé komory s přechodnými ischemickými EKG změnami v inferiorní oblasti a koronarografickým nálezem významné stenózy ramus interventricularis anterior (RIA) a chronickým uzávěrem pravé věnčité tepny (arteria coronaria dextra, ACD). Prezentujeme postup úspěšné retrográdní rekanalizace chronického kolateralizovaného uzávěru pravé věnčité tepny s následnou implantací dvou lékových koronárních stentů.
Klíčová slova:
Chronický kolateralizovaný uzávěr
Ischemická choroba srdeční
Perkutánní koronární intervence
Abstract
Chronic total occlusion (CTO) of a coronary vessel is a common angiographic finding. In patients with significant coronary artery disease, the presence of chronic occlusion may be observed in up to one third of patients. The number of percutaneous interventions for this type of lesion is steadily increasing worldwide. Recently published clinical data suggest that percutaneous intervention of the chronic occlusion leads to improvement of symptoms, improvement of left ventricular systolic function, reduction of a need of coronary artery bypass graft (CABG) surgery and improved survival of the patients. In the article we present a clinical case of a 67-year-old man with a history of progression of a dyspnea, a new onset of atrial fibrillation, an echocardiographic finding of left ventricular systolic dysfunction with transient ischemic ECG changes in the inferior leads and a finding of significant stenosis in left anterior descending artery (LAD) and a chronic total occlusion of right coronary artery (RCA) on coronary angiogram. We present a procedure of a successful retrograde recanalization of a CTO of the right coronary artery followed by an implantation of two drug eluting coronary stents.
Keywords:
Ischemic heart disease
Chronic total occlusion
Percutaneous coronary intervention
Chronický uzávěr věnčité tepny (chronic total occlusion, CTO) je relativně běžným nálezem při koronarografickém vyšetření a u pacientů s významnou ischemickou chorobou srdeční se prevalence pohybuje v rozmezí 10–31 %.1–5 Zejména v posledních dvou desetiletích přibývá klinických důkazů o přínosu katetrizační rekanalizace CTO a počty perkutánních intervencí pro tento typ nálezu trvale narůstají.1–5
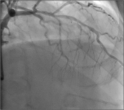
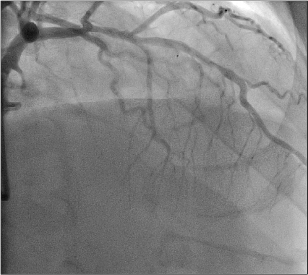
Sedmašedesátiletý muž byl v listopadu roku 2017 vyšetřen v katetrizační laboratoři Pracoviště invazivní a intervenční kardiologie Interní kardiologické kliniky FN Brno pro tři měsíce trvající progresi námahové dušnosti do funkční třídy NYHA III, nový záchyt fibrilace síní, přechodných depresí úseku ST v inferiorních svodech a echokardiografický nález systolické dysfunkce levé komory s globální hypokontraktilitou akcentovanou v oblasti baze dolní stěny a s celkovou ejekční frakcí levé komory 40 %. Koronarografie odhalila významnou stenózu ramus interventricularis anterior (RIA) levé věnčité tepny s angiografickou redukcí lumen přibližně 70 % a chronický uzávěr pravé věnčité tepny (arteria coronaria dextra, ACD) s dobře patrným kolaterálním zásobením z levé věnčité tepny (obr. 1–3 a video 1–3).
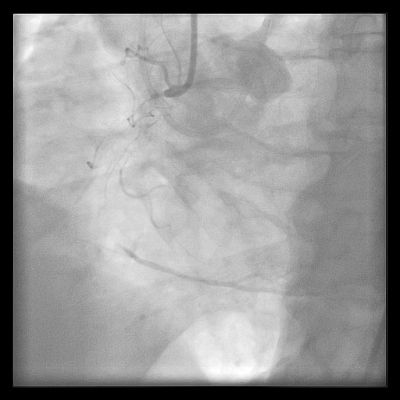
Rozsah koronárního postižení odpovídal střednímu rozsahu s hodnotou SYNTAX skóre II 20 bodů. Pacient byl dlouhodobě léčen jen pro hypertenzi a má nadváhu (body mass index 29,7 kg/m2), jinak je bez významných rizikových faktorů aterosklerózy. Postižení obou tepen bylo hodnoceno jako vhodné ke katetrizačnímu ošetření a po diskusi s pacientem byla na leden 2018 naplánována elektivní koronární intervence (PCI). Plánovanému zákroku předcházelo zahájení podávání duální antiagregace (kyselina acetylsalicylová v dávce 100 mg denně a clopidogrel 75 mg denně). Výkon byl proveden za použití dvou arteriálních přístupů. Do ústí pravé věnčité tepny byl zaveden katétr Vista JR4 7F (Cordis – Cardinal Health, USA) cestou pravého femorálního přístupu, do ústí levé věnčité tepny pak zaváděcí katétr Vista XB4 6F (Cordis – Cardinal Health, USA) pravým radiálním přístupem (obr. 4 a video 4).
Za podpory mikrokatétru Finecross a pomocí vodičů Fielder XT a Gaia Second (Asahi Intecc, Japonsko) byl proveden pokus o prográdní rekanalizaci standardní cestou (tzv. wire escalation technika), vodič Gaia Second prochází podél chronického uzávěru jen do disekce bez možnosti sondáže pravého lumen distálně od uzávěru (obr. 5 a video 5).
V dalším průběhu bylo přistupeno k rekanalizaci retrográdní cestou s využitím kolaterálního řečiště z RIA k periferii povodí ACD. Zaváděcí cévkou v ústí levé věnčité tepny byl po vodiči Balance Middle Weight (Abbott Vascular, USA) do úseku střední RIA zaveden mikrokatétr Corsair 150 cm (Asahi Intecc, Japonsko). Vodič byl vyměněn za hydrofilní rekanalizační vodič Sion Black a spolu s mikrokatétrem bylo proniknuto přes septální větev (obr. 6 a video 6)
a z ní vycházející kolaterálu do povodí distální části pravé věnčité tepny. Postupnou manipulací bylo proniknuto i retrográdně přes uzávěr až do proximální části pravé věnčité tepny a distální části zaváděcí cévky v jejím ústí. Následně po extrakci rekanalizačního vodiče mohl být skrz lumen ponechaného mikrokatétru retrográdně zaveden vodič RG3 300 cm (Asahi Intecc, Japonsko) s externalizací jeho měkkého konce zaváděcím katétrem v pravé věnčité tepně (obr. 7, 8 a video 7, 8).
Ostatní kroky výkonu již byly dále provedeny prográdní cestou – vodič RG3 ponechán in situ, mikrokatétr Corsair byl extrahován a opětovně zaveden po měkkém konci vodiče RG3 prográdně přes uzávěr tepny. Následně byl vodič RG3 vytažen a přes lumen mikrokatétru byl zaveden vodič Balance Middle Weight (Abbott Vascular, USA), po kterém byla provedena standardní postupná dilatace léze (obr. 9 a video 9)
balonkovými katétry Sprinter Legend 1,5 × 12 mm (Medtronic, USA) a Xperience 2,5 × 20 mm (iVascular, Španělsko). Po predilatacích chronického uzávěru a obnovení volného prográdního plnění tepny byl verifikován rozsah aterosklerotického postižení (obr. 10 a video 10),
léze byly následně ošetřeny konsekutivní implantací lékových stentů Synergy (Boston Scientific, USA) 3,0 × 38 mm a 3,5 × 16 mm s finální vysokotlakou postdilatací stentů tlakem 18 atm (obr. 11 a video 11).
Na konci výkonu pak bylo provedeno nezbytné kontrolní zobrazení septálních kolaterál (obr. 12 a video 12) k vyloučení případné extravazace, současně byla pomocí bedside echokardiografie vyloučena perikardiální efuze.
Po vytažení obou zaváděcích cévek a zavaděčů (sheathů) byla na pravé zápěstí naložena radiální komprese systémem TR Band (Terumo, Japonsko), k uzávěru pravého femorálního přístupu byl použit systém Angio-Seal 8F (Terumo, Japonsko). Po výkonu následovala jednodenní observace za hospitalizace na standardním oddělení kardiocentra, druhý den po zákroku byl pacient propuštěn. V březnu 2018 poté následoval druhý plánovaný zákrok, při kterém byla pacientovi provedena nekomplikovaná PCI proximálního úseku RIA s implantací lékového stentu Synergy 3,5 × 28 mm (Boston Scientific, USA). Bylo dosaženo kompletní revaskularizace. V souladu s platnými doporučenými postupy Evropské kardiologické společnosti bylo vzhledem k trvající fibrilaci síní pacientovi doporučeno užívání kombinované antikoagulační léčby warfarinem a duální protidestičkové léčby acetylsalicylovou kyselinou a clopidogrelem (tzv. triple terapie) po dobu jednoho měsíce, do šesti měsíců od zákroku pak duální léčba warfarinem s clopidogrelem a dále již jen antikoagulační léčba warfarinem. Do současné doby u pacienta nedošlo k nežádoucím komplikacím, v ambulantním sledování vykazuje zmírnění námahové dušnosti a zlepšení funkčního stavu, který lze nyní klasifikovat do třídy NYHA II. Další ambulantní sledování a echokardiografická kontrola vývoje funkce levé komory jsou v plánu v následujících měsících.
Chronický uzávěr věnčité tepny je relativně běžným koronarografickým nálezem. Přibližně 10–15 % pacientů přijatých pro infarkt myokardu s elevacemi úseku ST (STEMI) má kromě akutního uzávěru infarktové tepny jako vedlejší nález také chronický uzávěr některé z neinfarktových koronárních tepen.1 U pacientů se stabilními formami ischemické choroby srdeční se pak výskyt CTO pohybuje mezi 18–31 %.2–4
Ačkoli nemáme v dispozici velké randomizované studie srovnávající katetrizační rekanalizaci chronických uzávěrů s konzervativní léčbou, klinická data o přínosu revaskularizace CTO jsou konzistentní.5 Jedná se o zlepšení symptomů a kvality života,6,7 zlepšení systolické funkce levé komory,8,9 snížení rizika arytmií10, významné snížení nutnosti provedení aortokoronárního bypassu4 a trend ke zlepšenému přežívání pacientů po úspěšné katetrizační rekanalizaci CTO.5,11,12 Důvodem těchto pozorování je velmi pravděpodobně fakt, že i u chronických uzávěrů s velmi dobře vyvinutými kolaterálami a relativně rychlým retrográdním plněním teritoria distálně od okluze zůstává v zásobené oblasti značný rozsah ischemického myokardu. Ze studií koronární fyziologie bylo pomocí frakční průtokové rezervy (FFR) ověřeno, že většina chronicky uzavřených tepen vykazuje distálně od uzávěru klidové hodnoty Pd/Pa < 0,80, z funkčního hlediska jde tedy o známky klidové ischemie.13 Přítomnost kolaterálního zásobení také významně potencuje rozsah zátěžové ischemie v neokludované oblasti, ze které tyto kolaterály vycházejí.14 Závěry některých studií však příznivý vliv rekanalizace CTO na přežívání nemocných jednoznačně nepotvrzují. Jihokorejský registr (Hwang a spol.) retrospektivně analyzoval srovnání katetrizační rekanalizace CTO a konzervativního postupu s optimální farmakoterapií ve skupině pacientů s onemocněním jedné tepny.15 Mezi dvěma skupinami nebyly zaznamenány významné rozdíly v mortalitě ani ve výskytu nežádoucích příhod při průměrné době sledování 48 měsíců. U podskupiny pacientů s nejnižšími hodnotami SYNTAX skóre (≤ 12) byl u konzervativně léčených pacientů patrný signifikantně nižší výskyt nežádoucích kardiálních příhod. Jednalo se tedy o skupinu pacientů s nejmenším rozsahem koronárního postižení, u které se také dá předpokládat nejmenší rozsah myokardiální ischemie a vyšší výskyt nežádoucích příhod v intervenované skupině se dá také částečně přičíst periprocedurálním komplikacím výkonu. Podobně v japonském registru Credo-Kyoto4 srovnávajícím skupinu pacientů s úspěšně provedenou katerizační revaskularizací oproti procedurálnímu neúspěchu se nepodařilo prokázat vliv úspěšné PCI na tříletou mortalitu. Nicméně v této studii je trend k lepšímu přežívání v úspěšně intervenované skupině patrný, ačkoli nedosáhl statistické významnosti. Skupina pacientů v úspěšně intervenované skupině byla čtyřikrát početnější než skupina s neúpěšnou intervencí. Ve skupině neúspěšných PCI navíc značná část pacientů následně podstoupila operaci (aortokoronární bypass), čímž se rozdíl v úspěšném dosažení revaskularizace mezi oběma skupinami dále snížil, a hodnocení mortality mezi oběma skupinami je tak do jisté míry problematické.
V minulých dekádách bylo na koronární intervenci CTO tradičně nahlíženo jako na složitou proceduru zatíženou vysokou četností komplikací a relativně malým procentem úspěšnosti. Díky zlepšujícím se technikám a dedikovanému rekanalizačnímu instrumentáriu se proveditelnost i rizikovost zákroku rapidně zlepšuje a ve specializovaných centrech se úspěšnost zákroku pohybuje dlouhodobě i vysoko nad 90 %.16–19 Perkutánní intervence CTO je oproti standardní PCI koronární stenózy zpravidla provázena delšími skiagrafickými časy, vyšší spotřebou kontrastní látky a vyšší četností některých komplikací, jako jsou intramyokardiální hematom či ruptura koronární tepny s perikardiální tamponádou. Zvládnutí techniky řešení těchto komplikací je také samozřejmým předpokladem úspěšného rutinního provádění rekanalizačních zákroků. Ve velkých CTO centrech s víceletou zkušeností se četnost závažných komplikací katetrizačních rekanalizací pohybuje pod 2 %.18,20
V případě našeho pacienta jsme využili standardní techniky zavedení dvou zaváděcích cévek se současným zobrazením řečiště pravé i levé koronární tepny („dual injection“). V souladu se současnými doporučeními21,22 následuje technika s pokusem o projití uzávěrem rekanalizačním vodičem s relativně malou penetrační silou (v tomto případě Fielder XT, Asahi Intecc, Japonsko). Při neúspěchu byl tento vodič vyměněn za rekanalizační vodič s větším distálním zatížením (v tomto případě Gaia Second, Asahi Intecc, Japonsko) – tzv. antegrade wire escalation postup. Po projití do disekce v místě uzávěru následovala snaha o sondáž pravého lumen tepny („dissection/reentry“ technika). Při selhání tohoto postupu jsme vzhledem ke kvalitě kolaterálního řečiště přistoupili k rekanalizaci retrográdní cestou. Vodič Gaia Second ponechaný v proximální části pravé koronární tepny in situ sloužil mimo jiné k navigaci retrográdně zaváděného vodiče a k odlišení pravého a případného nepravého lumen tepny. Výkon jsme indikovali na základě nálezu ischemických EKG změn a systolické dysfunkce levé komory s přítomnou viabilitou. Ačkoli se u pacienta nevyskytovaly typické stenokardie a nebyl proveden standardizovaný zátěžový test, námahovou dušnost spolu s EKG obrazem lze v tomto případě považovat za ekvivalent anginózních symptomů a u pacienta došlo po rekanalizaci pravé věnčité tepny a následné revaskularizaci RIA k podstatnému funkčnímu zlepšení. Pacient bude nadále sledován klinicky a echokardiograficky.
Prohlášení autorů o možném střetu zájmů
R. Štípal jr., M. Poloczek, P. Jeřábek, O. Boček, J. Kaňovský nemají střet zájmů ve vztahu k publikaci, P. Kala je konzultantem firmy Boston Scientific ČR.
Odkaz na článek online
http://www.cksonline.cz/coretvasa-case-reports/clanky.php?p=detail&id=65&pid=976
Literatura
Vzdělání: Univerzita 2001–2007 (státní rigorózní zkouška složena 19. 5. 2007), obor: všeobecné lékařství, Lékařská fakulta Univerzity Palackého, Olomouc, Česká republika, typ studia, udělený titul: magisterský, MUDr.
2004–2005, obor: všeobecné lékařství, Lékařská fakulta, Univerzität Leipzig, Spolková republika Německo, typ studia: zahraniční studijní pobyt v rámci programu ERASMUS
2007–2014, obor: kardiologie, Lékařská fakulta Masarykovy univerzity, Brno, Česká republika, typ studia, udělený titul: doktorský, Ph.D.
Přehled odborné praxe: 2007–dosud, Interní kardiologická klinika, Fakultní nemocnice Brno, pracovní zařazení, obor: sekundární lékař, předatestační příprava v oboru kardiologie
Získaná specializace: 14. 12. 2009 – interní kmen, 17. 12. 2012 – atestace v oboru kardiologie; 23. 3. 2018 – funkční licence ČLK v oboru invazivní a diagnostická kardiologie (F009) a intervenční kardiologie (F010)