
Z. Marešová, P. Doškář, J. Matoušková, et al.
Souhrn
Srdeční angiosarkom je nejčastější primární maligní tumor srdce u dospělých. Vzhledem k často nespecifickému klinickému obrazu bývá odhalení angiosarkomu pozdní. Zásadní roli v diagnostice má echokardiografie a bioptické vyšetření; k ověření generalizace a stanovení dalšího postupu se využívá výpočetní tomografie (CT) a pozitronová emisní tomografie (PET). Samotné možnosti léčby (chirurgická resekce, chemoterapie a radioterapie, případně ortotopická transplantace) jsou limitované a mají nejistý efekt na prodloužení doby přežití. Strategie léčby není dosud jasně určena a je založena spíše na kazuistických zkušenostech. V naší kazuistice se věnujeme 52letému muži, který byl na našem pracovišti vyšetřen pro palpitace, tlakovou bolest na hrudi a krátký prekolapsový stav. Iniciálně byla zjištěna setrvalá úzkokomplexová tachykardie s frekvencí 220/min. V rámci přípravy ke katetrizační ablaci arytmie byla provedena CT angiografie plicních žil s vedlejším nálezem intrakardiálně uloženého tumoru, který byl dle jícnové echokardiografie a bioptického vyšetření verifikován jako primární srdeční angiosarkom. Indikováno bylo radikální chirurgické řešení s následnou chemoterapií v kombinaci s biologickou léčbou. Dle PET vyšetření došlo po osmi měsících od chirurgického výkonu k relapsu nádorové aktivity a následnému úmrtí nemocného 16 měsíců od primární diagnostiky onemocnění.
© 2020, ČKS.
Klíčová slova:
Angiosarkom
Echokardiografie
Maligní tumor srdce
Palpitace
Pozitronová emisní tomografie
Tachykardie
Abstract
Cardiac angiosarcoma is the most common primary malignant cardiac tumor in adults. Due to nonspecific clinical symptoms its diagnosis is often late. A key role in diagnosis plays echocardiography and the cardiac biopsy; computed tomography and positron emission tomography (PET) can help in determining the presence of metastasis and the treatment strategy. Available methods of treatment are limited and based solely on individual case reports – surgical excision, chemotherapy, radiotherapy, or orthotopic heart transplantation have uncertain effect on survival. In this presented case, we report of a 52-year-old male who was admitted for palpitations, chest pain, and brief presyncope. Initially, a narrow complex tachycardia 220/min was recorded and a catheter ablation scheduled. However, an intracardiac tumor mass was revealed by CT angiogram and later verified as a primary cardiac angiosarcoma by transoesophageal echocardiography and biopsy. The patient underwent a radical surgical resection with subsequent chemotherapy and biological therapy. Unfortunately, in 8 months a relapse was discovered by PET and the patient died 16 months after the primary diagnosis.
Keywords:
Angiosarcoma
Echocardiography
Malignant cardiac tumor
Palpitation
Positron emission tomography
Tachycardia
Angiosarkom je i přes svoji nízkou prevalenci nejčastější primární malignita srdce u dospělých. Představuje přibližně 30 % maligních srdečních nádorů a většinou je diagnostikován ve čtvrtém či pátém decenniu.1 Predilekční lokalizací angiosarkomu je pravá síň. Vzhledem k chudým a nespecifickým klinickým symptomům bývá stanovení diagnózy pozdní a až v 89 % případů2 již bývají přítomny metastázy, zejména do plic a mozku. Hlavní roli v diagnostice angiosarkomu hraje echokardiografie a bioptické vyšetření, dále ke zjištění metastáz a plánování dalšího postupu léčby výpočetní tomografie (CT) a pozitronová emisní tomografie (PET), případně magnetická rezonance (MR). Angiosarkom velmi špatně odpovídá na chemoterapii i radioterapii, chirurgické řešení nemívá dlouhodobý efekt.3,4 Průměrný medián přežití po chirurgické resekci se udává jako 14 měsíců, ale bez chirurgického řešení více než 90 % pacientů podléhá onemocnění v průběhu prvního roku.5 V určitých případech může být zvažována i ortotopická transplantace srdce.3,6 Vzhledem k malé incidenci tohoto onemocnění nejsou stanovena doporučení pro jeho léčbu.
Dvaapadesátiletý muž (exkuřák, hypertonik) s dvouletou anamnézou občasných bolestí na hrudníku byl přivezen na naše pracoviště rychlou záchrannou službou (RZS) pro déle trvající bolest na hrudi s prekolapsovým stavem a palpitace. Na EKG provedeném RZS byla iniciálně registrována setrvalá úzkokomplexová tachykardie s frekvencí 220/min s nespecifickými změnami ve smyslu difuzních depresí úseku ST a elevace v aVR (obr. 1A a obr. 1C). Po intravenózní aplikaci 150 mg amiodaronu RZS byla na EKG zřejmá fibrilace síní s komorovou odpovědí okolo 150/min s ústupem ischemických změn (obr. 1B). Na našem pracovišti byla na vstupním EKG opět setrvalá pravidelná úzkokomplexová tachykardie s frekvencí 156/min (obr. 1D).
Obr. 1 – (A, B) Na EKG provedeném RZS byla iniciálně registrována setrvalá úzkokomplexová tachykardie s frekvencí 220/min s nespecifickými změnami ve smyslu difuzních depresí úseku ST a elevace v aVR. (B) Po intravenózní aplikaci 150 mg amiodaronu RZS byla na EKG zřejmá fibrilace síní s komorovou odpovědí okolo 150/min s ústupem ischemických změn. (D) Na našem pracovišti byla na vstupním EKG pravidelná úzkokomplexová tachykardie s frekvencí 156/min. Obr. 1 – (C) Obr. 1 – (D)Vagové manévry byly bez efektu. Pacient byl již dále bez bolestí na hrudi, bez akutních ischemických změn na EKG. Kardiospecifické markery byly opakovaně negativní. Orientační bed-side echokardiografické vyšetření (při horší vyšetřitelnosti pacienta) neprokázalo významnější patologii. Další intravenózně aplikovaná antiarytmika, jak amiodaron, tak i adenosin, nevedla k úspěšné konverzi rytmu, nicméně v rámci úvodu do anestezie před plánovanou elektrickou kardioverzí došlo ke spontánní terminaci arytmie. Podle 12svodového EKG v průběhu arytmie nebylo možné vyloučit síňovou tachykardii, proto byla u nemocného indikována komplexní katetrizační ablace, před kterou byla indikována CT angiografie srdce.
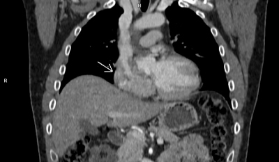
Jako vedlejší nález provedeného CT vyšetření byly popisovány defekty v kontrastní náplni pravé síně a okrsky kondenzace nejasné povahy v plicní tkáni. Na základě nálezu na CT byla indikována jícnová echokardiografie (TEE), kde byl identifikován keříčkovitý a částečně mobilní útvar v pravé síni (stěna celé pravé síně byla pokryta izoechogenními nástěnnými hmotami tloušťky 1,5–2 cm a pod Eustachovou chlopní z nich vycházel keříčkovitý velmi mobilní útvar délky až 5 cm) (obr. 2, video 1).
Dále jsme zjistili perzistující foramen ovale (PFO) s levopravým zkratovým prouděním. Následovalo PET/CT vyšetření, při kterém vykazovala tumorózní tkáň v pravé síni metabolickou aktivitu (obr. 3); naopak okrsky kondenzace v plicích aktivní nebyly.
Katetrizační vyšetření poskytlo kromě vyloučení koronární nemoci informaci o drobných rentgenkontrastních okrscích (patrně drobných kalcifikacích) v tumoru a prokázalo jeho výraznou vaskularizaci. Většina krevního zásobení vycházela ze dvou větví proximální části arteria coronaria dextra (ACD), dolní pól tumoru byl zásoben z distálního ramus circumflexus (RCx) (obr. 4, video 2).
V centrální části byl prokázán průnik kontrastní látky přímo do dutiny pravé síně. Ke stanovení definitivní diagnózy byl katetrizačně odebrán vzorek z tumoru z pravé síně pod kontrolou intrakardiální echokardiografie. Histologicky byl odebraný materiál tvořen fragmenty trombu a částkami vřetenobuněčného maligního tumoru s drobnými nekrózami a s vysokou mitotickou aktivitou (5 mitóz/10 HPF = high-power field). Imunohistochemicky byly nádorové elementy pozitivní v CD31, ve vimentinu a slabě pozitivní v CD34, v hladkosvalovém aktinu a v CD117. Negativní byl imunohistochemický průkaz v cytokeratinu, desminu a S100 proteinu. Proliferační aktivita KI67 dosahovala až 45 %. Tumor byl na podkladě těchto vyšetření hodnocen jako high-grade angiosarkom (obr. 5).
Nemocný byl kompletně předoperačně dovyšetřen a byla u něj indikována radikální chirurgická resekce tumoru. Magnetická rezonance (MR) mozku vyloučila embolizace/metastázy do centrálního nervového systému (CNS). Krevní obraz i biochemické vyšetření ukázalo mírnou trombocytopenii (100 × 109/l), incipientní leukocytopenii (4,2 × 109/l – snížení počtu neutrofilních leukocytů na 55 %), lehkou hypoproteinemii (celková bílkovina 60 g/l), mírně zvýšené jaterní transaminázy (dle pacienta se jednalo o chronickou záležitost). I C-reaktivní protein a odebrané onkomarkery (prostatický specifický antigen, α1-fetoprotein, karcinoembryonální antigen, CA 15-3, CA 19-9, tkáňový polypeptidový antigen, CA 72-4) byly zcela v normě. Doplnili jsme sonografické vyšetření břicha, které neprokázalo žádný patologický nález.
Pacient byl předáván k další péči na Kliniku kardiochirurgie IKEM, kde byla předoperačně doplněna MR srdce (obr. 6) a provedena rozsáhlá chirurgická resekce tumoru s náročnou remodelací pravé síně (s využitím záplat Cormatrix) s nutností plastiky trikuspidální chlopně. Perioperačně zjištěná infiltrace stěny pravé síně tumorem (obr. 7) bránila jeho kompletní resekci.
Perioperační TEE prokazovala vyšší gradient u dolní duté žíly, který mohl vzniknout v důsledku malého prostoru k šití. Několik hodin po operaci došlo k poklesu diurézy při stenóze vtokové části dolní duté žíly do pravé síně. Přistoupilo se k chirurgické revizi s plastikou dolní duté žíly a s příznivým výsledkem dle perioperačního TEE. Kardiochirurgický výkon byl komplikován kardioembolizační cévní mozkovou příhodou (CMP) s ložiskovým nálezem na nativním CT mozku provázeným lehkou expresivní afazií, nejspíše při preexistenci PFO a paradoxní embolizaci; u nemocného došlo v průběhu několika dnů ke kompletní klinické restituci příznaků CMP.
Pacient byl po výkonu předán k paliativní onkologické léčbě do Thomayerovy nemocnice (TN) v Praze; staging tumoru byl T2b N0 M0, histologicky verifikovaný angiosarkom středně až nízce diferencovaný (G2–3) dosahující k okrajům resekce (R1). U nemocného byly indikovány komplexní katetrizační ablace, chemoterapie doxorubicinem 75 mg/m2 à 21 dnů. Kontrolní PET/CT čtyři měsíce po operaci bylo bez známek generalizace.
Po osmi měsících od operace PET/CT prokázalo generalizaci tumoru do plic, jater a kostí. Byla započata další chemoterapie (ifosfamidem) doplněná o biologickou léčbu (denosumabem) pro ložiska v kostech. Léčba musela být ukončena pro změny v krevním obraze. Za tři měsíce bylo provedeno kontrolní CT hrudníku, břicha a pánve, které prokázalo téměř úplnou regresi mnohočetných ložisek v obou plicích, jen s drobnými rezidui; nově byl zjištěn fluidotorax vpravo, perikardiální výpotek a výrazná progrese ascitu, suspektní anasarka; došlo ke zmenšení velikosti vícečetných ložisek v játrech přibližně do 24 %, nově se objevila dvě drobná hypodenzní ložiska. Dále byla popsána nehomogenní náplň ve vena cava superior přesahující na vena subclavia dextra. Z pohledu onkologa byl stav zhodnocen jako stabilizace, a to i přes přítomnou anasarku. Vzhledem k tomu, že se nejednalo o obvyklý projev toxicity podávané chemoterapie a nádor byl dle zobrazovacích vyšetření v regresi, byl stav přisouzen kardiální dekompenzaci. Pacient byl záhy hospitalizován na našem pracovišti pro anasarku a progresi fluidotoraxu vpravo, byla zahájena intravenózní (i.v.) diuretická terapie s efektem. O dva měsíce později byl pacient znovu hospitalizován pro slabost a kolapsový stav, současně měl bolest v epigastriu a nechutenství. Na CT hrudníku a břicha byla zjištěna změna charakteru plicních metastatických ložisek (výraznější denzita bez „ground-glass“ vzhledu) a progrese metastatického postižení v játrech, současně došlo k další masivní progresi ascitu i fluidotoraxu vpravo. Vzhledem k těžké anémii (hemoglobin 69 g/l) byly podány dvě transfuze. Další postup byl konzultován s ošetřujícím onkologem a další onkologická léčba již nebyla indikována. O měsíc později byl pacient znovu hospitalizován pro opakovanou dekompenzaci stavu s dušností a progresí ascitu. Opět byly indikovány transfuze (hemoglobin 53 g/l) a i.v. diuretika. Ultrazvuk nově prokázal oboustranný fluidotorax, laboratorně došlo ke zhoršení funkce ledvin a jater. Doplnili jsme CT břicha a malé pánve, kde byly popsány vícečetné metastázy v plicích (na zachycených bazích plic), v játrech i ve slezině a výrazná progrese tekutiny – suspektní hemoperitoneum. Chirurg indikoval urgentní revizi břicha, při které byla provedena splenektomie a klínovitá resekce jater. Histologicky byly potvrzeny metastázy high-grade sarkomu. Naopak ve vzorku ascitu nebyly maligní nádorové buňky prokázány. Pooperačně byla nutná katecholaminová podpora a stav byl přechodně komplikován rozvojem sepse.
Dále byla indikována již jen paliativní léčba a pacient byl předán do domácí hospicové péče. V následujících dnech pacient očekávaně zemřel.
Angiosarkom je nejčastější primární srdeční maligní nádor (30 %).7 Predilekční lokalizace je v pravé síni s infiltrací do stěny a perikardu, může zasahovat až do dolní duté žíly a k trikuspidální chlopni. Často se prezentuje chudými a nespecifickými klinickými symptomy (bolesti na hrudi, dušnost, palpitace, ale i systémovými příznaky, jako je horečka, noční pocení, zimnice, hubnutí), které závisejí i na velikosti a lokalizaci nádoru. To jsou důvody, proč bývá u většiny pacientů onemocnění diagnostikováno až ve stadiu, kdy je primární tumor neodstranitelný a jsou přítomné metastázy. Manifestovat se může rozvojem perikardiálního výpotku, a tedy srdeční tamponády, dále srdečními arytmiemi anebo plicní embolií.8 Ve chvíli, kdy má pacient obtíže, bývají již přítomny vzdálené metastázy – nejčastěji do plic, ale také do jater, sleziny, kostí nebo mozku. Náš pacient na cílený dotaz připustil občasné bolesti na hrudi v posledních dvou letech, jinak se cítil zdráv a fyzickou zátěž zvládal bez omezení. Obtížím nepřisuzoval větší význam a až při déletrvajících bolestech na hrudi s prekolapsovým stavem a palpitacemi byl akutně vyšetřen na našem pracovišti.
Hlavní úlohu v diagnostice angiosarkomu má echokardiografie. Především transtorakální přístup, ale důležitou roli má i jícnová echokardiografie, která detailněji objasňuje vztah a možnost prorůstání tumoru do horní a dolní duté žíly a k trikuspidální chlopni. Pro upřesnění typu a stadia nádoru je zásadní endomyokardiální biopsie. Až ve dvou třetinách případů je histologicky verifikován středně diferencovaný, bohatě vaskularizovaný vřetenobuněčný tumor s bohatou mitotickou aktivitou, imunohistochemicky pozitivní CD31, CD34, faktor VIII.9,10 Naopak výsledek punkce perikardiálního výpotku může být ve většině případů negativní ve smyslu průkazu malignity.11–13 Ke zjištění metastáz a plánování dalšího postupu léčby je zapotřebí CT a PET vyšetření. S výhodou je doplnění MR, zejména k ozřejmění rozsahu tumorózní infiltrace. V našem případě jsme při prvotním bed-side transtorakálním echokardiografickém vyšetření neprokázali žádnou zjevnou patologii pravé síně. Až o tři měsíce později byl náhodně při CT angiografii srdce a následně cíleně při transtorakální echokardiografii (TTE) a TEE zjištěn tumor v pravé síni. Perikardiální výpotek nebyl přítomen. Je sporné, zda v průběhu zmíněných tří měsíců došlo k progresi nálezu nebo byla vstupní bed-side TTE zatížena horší vyšetřitelností pacienta. Následně doplněné PET/CT potvrdilo metabolicky aktivní tumorózní tkáň v pravé síni a neprokázalo metastatické postižení. Metastázy vyloučila i MR mozku. Bioptické vyšetření definitivně potvrdilo diagnózu high-grade angiosarkomu srdce. Zajímavý byl katetrizační nález, který ukázal výraznou vaskularizaci a krevní zásobení tumoru vycházející z ACD a RCx. Předoperačně byla provedena MR srdce, kde byla zřejmá rozsáhlá infiltrace stěny pravé síně.
Vzhledem k málo častému výskytu tohoto onemocnění nejsou dosud stanoveny žádné doporučené postupy. Kompletní chirurgické odstranění nádoru je jedinou efektivní léčbou14 a mělo být první volbou, bohužel v mnoha případech je nádor diagnostikován již v pozdním stadiu. Průměrný medián přežití po chirurgické resekci se udává 14 měsíců.5 Adjuvantní chemoterapie a radioterapie mohou být použity v rámci paliativní léčby k prodloužení přežití. V ojedinělých případech může zlepšit průběh onemocnění kombinace radioterapie s chemoterapií carboplatinou a paclitaxelem.15,16 Ale v mnoha případech je srdeční angiosarkom rezistentní k chemoterapii a/nebo radioterapii. V určitých případech může být zvážena i ortotopická transplantace srdce.3,6 U našeho pacienta byla provedena rozsáhlá chirurgická resekce tumoru, ale perioperačně zjištěná infiltrace stěny pravé síně tumorem neumožňovala jeho kompletní resekci. Následně byla indikována adjuvantní chemoterapie doxorubicinem, po relapsu onemocnění s průkazem metastáz do plic a jater ifosfamid v kombinaci s denosumabem pro metastázy v kostech. Při průkazu další progrese metastatického postižení nebyla další onkologická léčba indikována. Náš pacient zemřel po 16 měsících od provedené chirurgické resekce.
U našeho pacienta jsme primární srdeční angiosarkom zjistili v souvislosti s nově vzniklou setrvalou úzkokomplexovou tachykardií. Jestli symptomy samotné (palpitace, tlakové bolesti na hrudi a prekolapsový stav) souvisely jen s arytmií nebo i s tumorem samotným, není zcela zřejmé. Ačkoli byla u pacienta velmi časně indikována chirurgická resekce angiosarkomu, makroskopický tumor se vzhledem k prorůstání do stěny pravé síně nepodařilo zcela odstranit a následná chemoterapie byla jen dočasně úspěšná. Necelé čtyři měsíce po ukončení chemoterapie došlo k relapsu onemocnění s metastázami do plic, jater i kostí. Ani další chemoterapie posílená biologickou léčbou nezměnila infaustní prognózu a pacient i přes naši dlouhou intenzivní snahu po 16 měsících od průkazu diagnózy zemřel.
Poděkování
Za laskavou pomoc, užitečné rady a korektury při psaní kazuistiky bych chtěla velmi poděkovat prof. MUDr. Petru Ošťádalovi, Ph.D. Další poděkování patří všem, kteří mi poskytli a pomohli zpracovat bohatou obrazovou dokumentaci – jmenovitě MUDr. Daně Kautznerové, MUDr. Monice Jarůškové, MUDr. Michalu Klánovi a MUDr. Pavlu Henyšovi. V neposlední řadě děkuji i všem spoluautorům, kteří se podíleli na náročné léčbě a péči o našeho pacienta.
Prohlášení autorů o možném střetu zájmů
Žádný střet zájmů.
Literatura
MUDr. Zita Marešová v roce 2008 ukončila studium na 3. lékařské fakultě Univerzity Karlovy v Praze. Od stejného roku pracuje na Kardiologickém oddělení Nemocnice Na Homolce, kde se věnuje převážně arytmologii. V současné době se připravuje na atestaci z kardiologie.