Kardio 365 - úvodní stránka
nepřihlášen  
Change language:    

MULTIDISCIPLINÁRNÍ PŘÍSTUP K LÉČBĚ CDRIE: KAZUISTIKA

T. Budovičová, P. Heinc (Olomouc)
Tématický okruh: Obecný okruh
Typ: Poster - lékařský, XXII. české a slovenské sympozium o arytmiích a KS

Padesátiletý pacient s dvoudutinovým kardiostimulátorem implantovaným v roce 1998 pro symptomatický sick sinus syndrom byl v červenci 2025 referován na naše pracoviště pro infekční endokarditidu asociovanou s implantabilním přístrojem (CDRIE).


Původně byl hospitalizován na interním oddělení spádové nemocnice pro septický stav nejasné etiologie, kde v hemokulturách opakovaně zachytili Staphylococcus aureus. V rámci pátrání po zdroji infekce byla provedena jícnová echokardiografie (TEE), která odhalila vegetace na stimulačních elektrodách. Po zahájení cílené antibiotické terapie byl pacient přeložen na naše pracoviště k extrakci stimulačního systému.
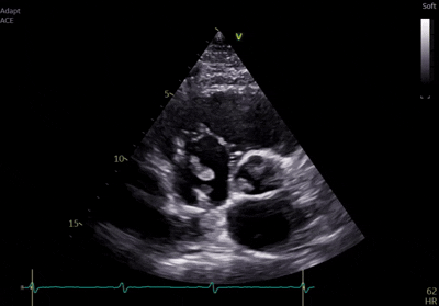
Kontrolní TEE na našem pracovišti potvrdila vlající vegetace v pravostranných srdečních oddílech – největší o velikosti 25×9 mm, menší přisedlý útvar s rozměrem 7×9 mm. Provedené PET/CT bylo v korelaci se suspektními zánětlivými změnami téměř v celé délce elektrod. V rámci multidisciplinárního týmu bylo vzhledem k velikosti vegetací a rizikovým faktorům rozhodnuto o kardiochirurgické extrakci stimulačního sysému. Transvenózní extrakce představovala větší riziko s nejasným výsledkem - možné embolizace do plic, mechanické komplikace s ohledem na stáří elektrod a známý uzávěr levé v. subclavia. Předoperační přípravu zkomplikovala hluboká žilní trombóza vlevo, která vedla k odkladu výkonu. Začátkem srpna pacient podstoupil kardiochirurgickou extrakci celého systému. Vlastní výkon i pooperační průběh byl bez komplikací a pacient byl přeložen zpět do spádové nemocnice k pokračování antibiotické léčby.


Tento případ potvrzuje, že efektivní léčba CDRIE, zvláště u pacientů s dlouhým odstupem od primoimplantace, vyžaduje úzkou mezioborovou spolupráci.