Kardio 365 - úvodní stránka
nepřihlášen  
Change language:    

IZOLOVANÝ TROMBUS PRAVÉ SRDEČNÍ SÍNĚ JAKO KOMPLIKACE MULTIMODÁLNÍ LÉČBY MALIGNÍHO MEZOTELIOMU

F. Koubek, J. Látal, M. Hutyra, M. Táborský (Olomouc)
Tématický okruh: Zobrazovací metody v kardiologii (echokardiografie, nukleární kardiologie, MRI, CT)
Typ: Poster - lékařský, XXXII. Sjezd ČKS

Intrakardiální tromby jsou relativně běžným nálezem u nemocných vyšetřovaných v echokardiografické laboratoři. Jejich patofyziologie připomíná děje podílející se na formaci žilní trombózy a didakticky jsou tyto mechanizmy shrnuty tzv. Wirchowovou triádou. V oblasti srdečních síní hraje dominantní roli při formaci trombu vliv mechanický (akinesa či významně snížená kinetika stěny síní zejm. u supraventrikulárních arytmií) a s tím související krevní stáza v predilekčních lokalizacích (např. ouško levé síně). V některých případech však může mít zásadní podíl i zánětlivý či obecně hyperkoagulační stav (lokální i globální), jak jej známe např. u malignit. Co se týče lokalizace síňových trombů, výrazně dominuje oblast levé aurikuly vzhledem ke stranovým anatomickým rozdílům. Nález pravosíňového trombu (současně s levosíňovým) je obecně výrazně vzácnější a izolovaný výskyt trombu pouze v pravé síni lze považovat za raritní (vyjma nositelů srdečních implantátů). V tomto případě je třeba pomýšlet na zcela specifickou mechanickou či zánětlivou etiologii v dané oblasti, a to zejména při sinusovém rytmu, kdy globální porucha kinetiky síňového myokardu je nepravděpodobná.
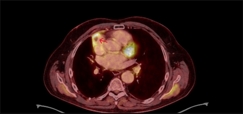
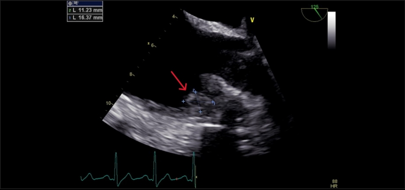
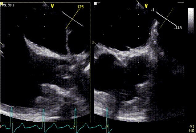
Suverénní diagnostickou metodou síňových trombů je jícnová echokardiografie. Alternativou je srdeční magnetická rezonance a CT, avšak právě výpočetní tomografie s sebou nese limitace ve formě nedostatečné distribuce kontrastní látky v oblastech krevní stázy. Následující kazuistika pojednává právě o nálezu izolované trombózy pravé aurikuly srdeční u pacienta po multimodální léčbě maligního mezoteliomu. Trombus byl diagnostikován jako vedlejší nález při PET/CT a následně potvrzen jícnovou echokardiografií.