ANEURYSMA A PSEUDOANEURYSMA LEVÉ KOMORY SRDEČNÍ – DIFERENCIÁLNÍ DIAGNOSTIKA POMOCÍ MAGNETICKÉ REZONANCE DOPLNĚNÁ KAZUISTIKAMI
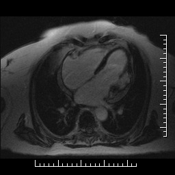
Diferenciální diagnostika aneurysmatu a pseudoaneurysmatu levé komory srdeční je stále obtížná. Aneurysma je definováno jako vyklenutí stěny komory deformující v diastole její typický tvar. Vzniká v důsledku přeměny stěny komory v jizvu a následným působením nitrokomorového tlaku. Oproti tomu pseudoaneurysma vzniká jako postupná ruptura stěny levé komory krytá přilehlým perikardem. Klinický důsledek rozlišení obou stavů je obrovský, protože pseudoaneurysma je vzhledem ke svému riziku ruptury indikací k operačnímu řešení. V primární diagnostice je dnes stále ještě rychlou a dostupnou metodou echokardiografie, avšak vzhledem ke špatné přehlednosti zejména v oblasti spodní a zadní stěny levé komory, kde je pseudoaneurysma nejčastěji lokalizováno, je dnes často využívanou zobrazovací metodou magnetická rezonance. Jde o neinvazivní zobrazovací vyšetření, bez radiační zátěže, s vysokou rozlišovací schopností. V rámci jednoho sezení lze provést vyšetření kinetické, morfologické i postkontrastní (first-pass, late-enhancement). Po podání kontrastní látky se u pseudoaneurysmatu objevuje pozdní sycení perikardu, jehož intenzita signálu je stejná nebo větší než u myokardiální jizvy. Na rozdíl od toho u aneurysmatu je pozdní sycení perikardu vzácné.
Uvádíme 5 krátkých kazuistik (aneurysma spodní stěny, aneurysma hrotu, aneurysma interventrikulárního septa, pseudoaneurysma zadní stěny, stav po resekci pseudoaneurysmatu) včetně obrazové dokumentace, kde vyšetření magnetickou rezonancí přispělo ke stanovení klinické diagnózy a k určení dalšího postupu.



